Chirurgia Orale e parodontologia

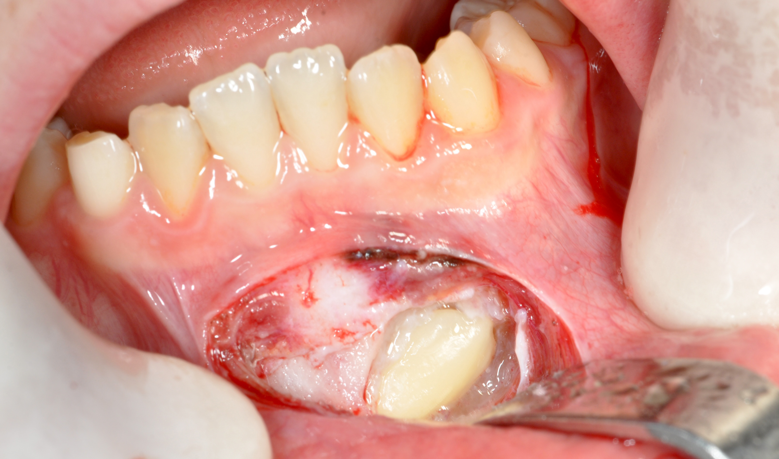
La chirurgia orale nel nostro studio viene affrontata con un approccio d'avanguardia, mirato a garantire la massima precisione nell'estrazione di denti del giudizio e denti inclusi, così come nella rimozione di cisti e lesioni del cavo orale. Per assicurare interventi mini-invasivi, utilizziamo la tecnologia piezoelettrica, che permette di agire selettivamente sui tessuti duri riducendone il trauma e preservando l'integrità delle strutture nobili (nervi e vasi). Ogni procedura è supportata da una rigorosa fase di pianificazione tramite CBCT, che ci consente di previsualizzare l'anatomia in 3D e operare con estrema predicibilità e sicurezza. Di seguito, illustriamo l'approccio clinico applicato a un caso di estrazione di un dente del giudizio e di un canino incluso.Chirurgia Orale

Chirurgia Orale

CASO 1
Estrazione di tutti e 4 i denti del giudizio per disodontiasi. Operazione chirurgica avvenuta in due sedute.


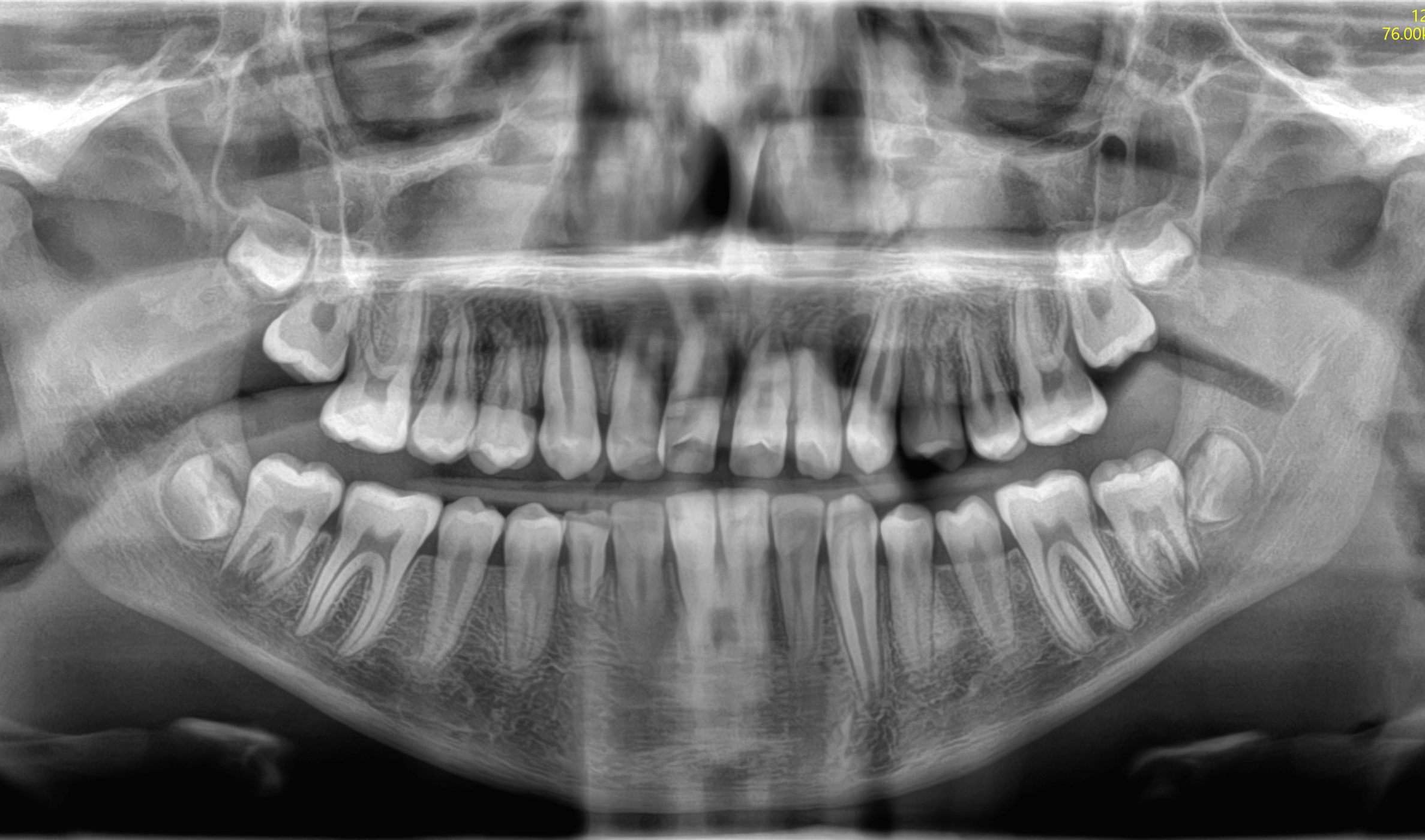
CASO 2
Estrazione di canino incluso in paziente pediatrico

PRIMA

DOPO

Riabilitazioni estetiche combinate

Le riabilitazioni estetiche combinate rappresentano la massima espressione di un approccio odontoiatrico multidisciplinare, volto
a restituire al sorriso un’armonia naturale e funzionale. Attraverso l’integrazione sinergica di ortodonzia, protesi estetica (faccette) e chirurgia plastica parodontale (innesti), interveniamo in modo coordinato sulla posizione dei denti, sulla loro morfologia e sui profili gengivali. Questo protocollo integrato ci permette di risolvere inestetismi complessi preservando la struttura dei denti naturali, garantendo risultati d’eccellenza che coniugano una bio-integrazione ottimale con una stabilità estetica duratura nel tempo.

CASO 3
Il paziente presentava importanti recessioni gengivali sull’incisivo centrale e sul canino superiore sinistro. Grazie a un intervento di innesto e ricopertura radicolare, è stato possibile ripristinare le corrette parabole gengivali e migliorare l’estetica e la salute del tessuto gengivale.

PRIMA

DOPO


Caso 4
Innesto e copertura delle recessioni sui 4 canini

PRIMA

DOPO