Impianti e protesi fissa

L’assenza di uno o più elementi dentari può compromettere l’estetica del sorriso e alterare funzioni orali fondamentali quali masticazione e fonazione. Nel nostro studio realizziamo riabilitazioni implantari e protesiche fisse progettate per ripristinare denti stabili, funzionali e con un’estetica naturale, utilizzando materiali ad alte prestazioni e protocolli clinici aggiornati.

Ogni trattamento viene studiato su misura, rispettando le esigenze di ciascun paziente, per offrire un sorriso armonioso e una corretta masticazione. A seguire potrai vedere alcuni casi reali eseguiti nel nostro studio, testimonianza della qualità e dell’attenzione che dedichiamo a ogni lavoro.

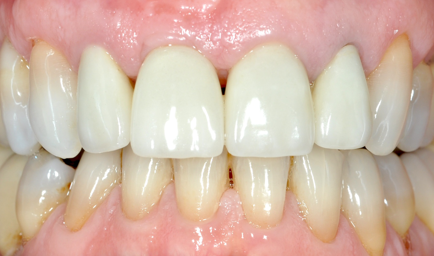
Caso 1
La paziente ha subito un trauma sugli elementi frontali nel 2000. I denti sono stati recuperati e riabilitati protesicamente con corone fisse sulle radici naturali. Dopo più di 20 anni, l’elemento 11 mostra segni di riassorbimento radicolare (tipico dei denti traumatizzati). Si procede con la sostituzione dell’elemento con un impianto singolo.

PRIMA

DOPO


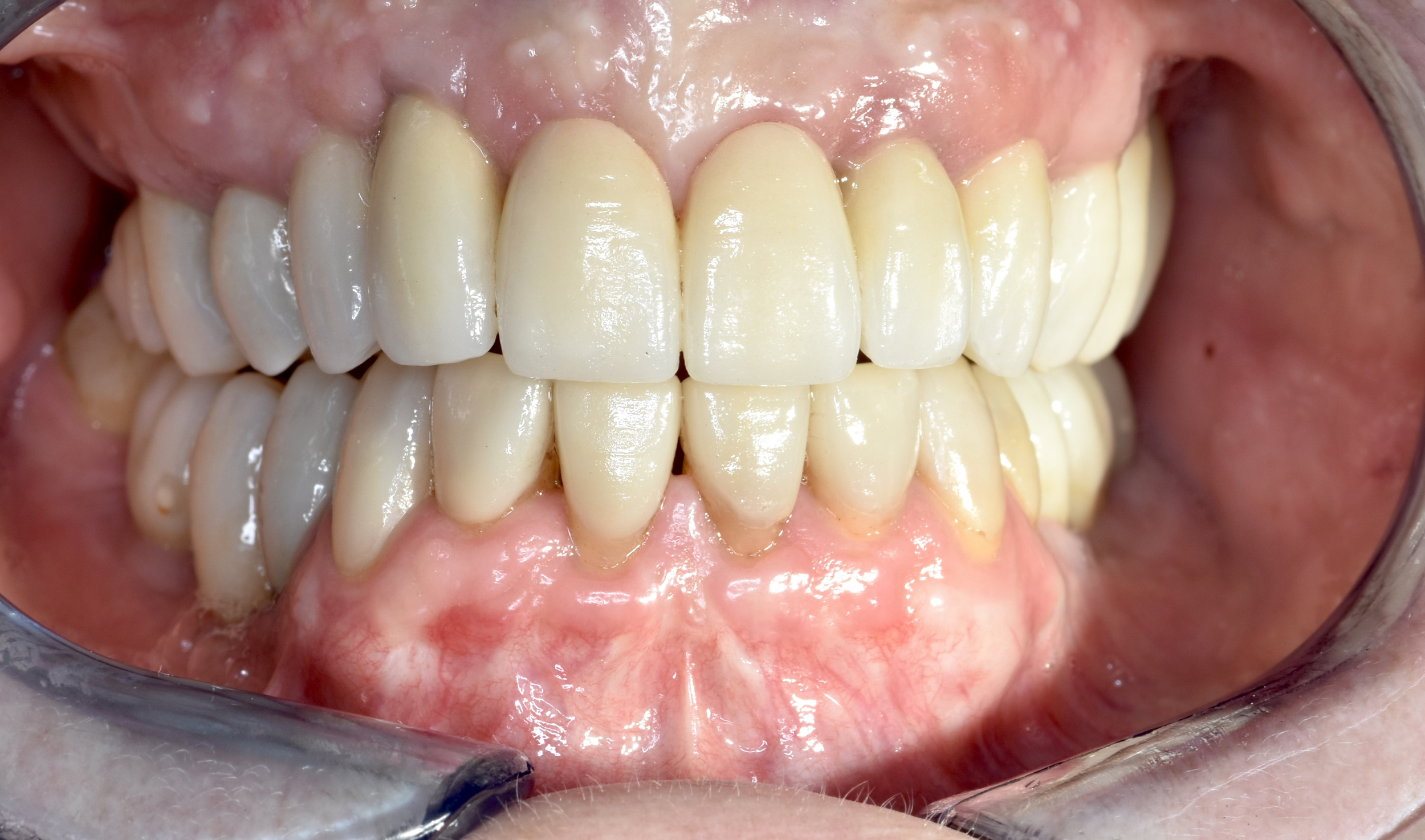
Caso 2

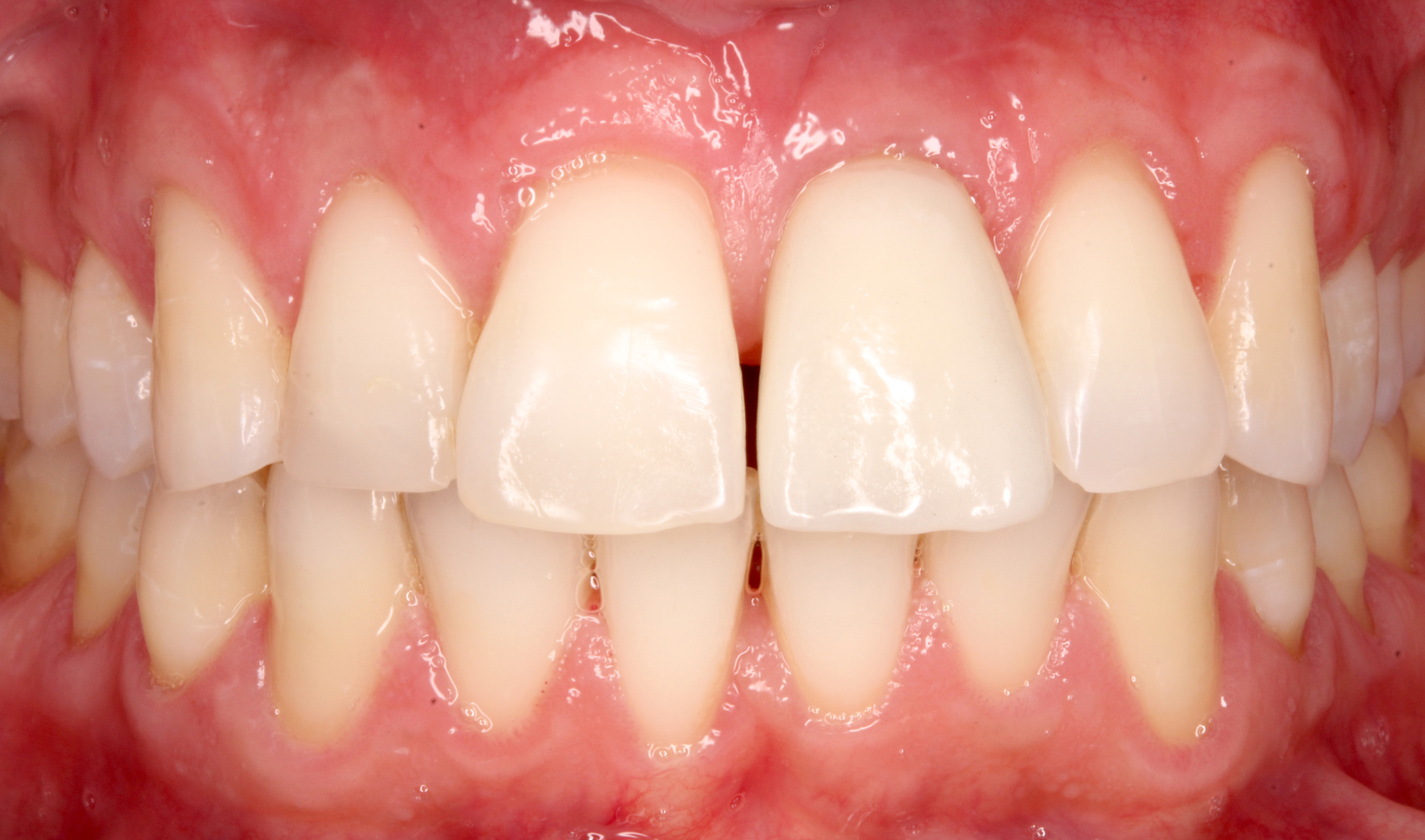
Il paziente, quando era ancora bambino, ha subito un trauma sull’incisivo centrale provocandone la necrosi e interrompendo la crescita completa della radice. Il dente è stato curato e riabilitato in modo tale da mantenerlo in arcata per più tempo possibile. A crescita completa del paziente, a causa dello stato precario dell’elemento dentario, si è proceduto con la sostituzione con un impianto osteointegrato.

PRIMA

DOPO

 

Nei casi più complessi, come quando mancano molti denti, gli elementi presenti non sono recuperabili o è necessario intervenire anche su quantità ridotte di osso, adottiamo tecniche avanzate per ripristinare estetica e funzione. Di seguito presentiamo due tipologie di riabilitazioni complesse che eseguiamo nel nostro studio.

Riabilitazioni complesse con mantenimento
dei denti naturali

In alcune situazioni, anche quando è necessario inserire più impianti, è possibile preservare i denti naturali presenti e valorizzarli con altri trattamenti come ortodonzia, faccette, corone o innesti gengivali. Questo approccio permette di combinare diverse tecniche per ottenere un risultato finale armonioso, funzionale e naturale, rispettando al massimo la struttura dentaria residua.

Caso 3 - Caso 4

PRIMA

DOPO


PRIMA

DOPO

 

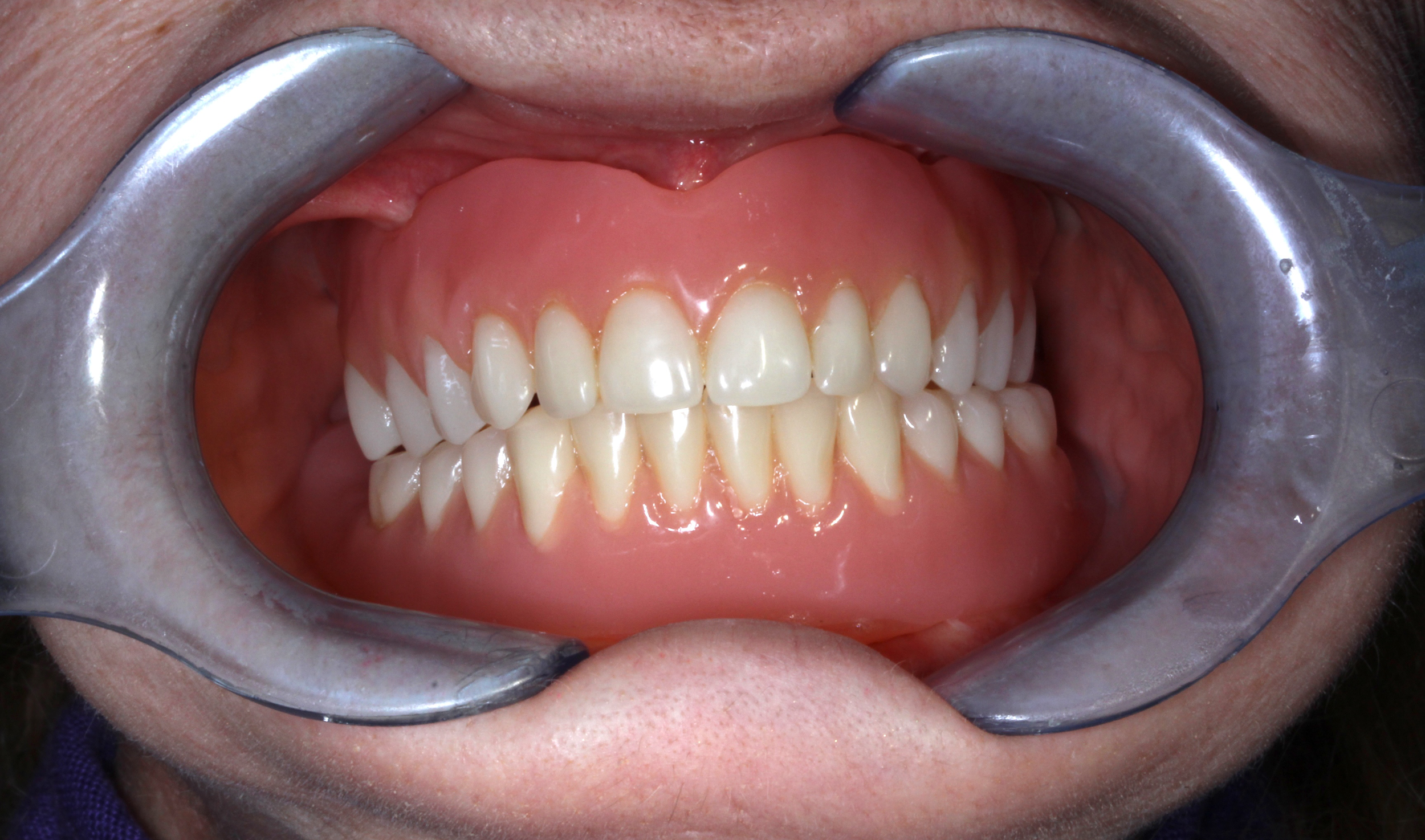
Riabilitazioni complete nei pazienti totalmente edentuli

Quando invece il paziente ha perso tutti i denti, progettiamo una riabilitazione completa supportata da impianti dentali. Grazie a tecniche avanzate e pianificazioni personalizzate, è possibile ripristinare estetica, funzione masticatoria e comfort attraverso soluzioni fisse stabilmente ancorate all’osso, restituendo un sorriso nuovo e sicuro anche nelle condizioni cliniche più complesse.


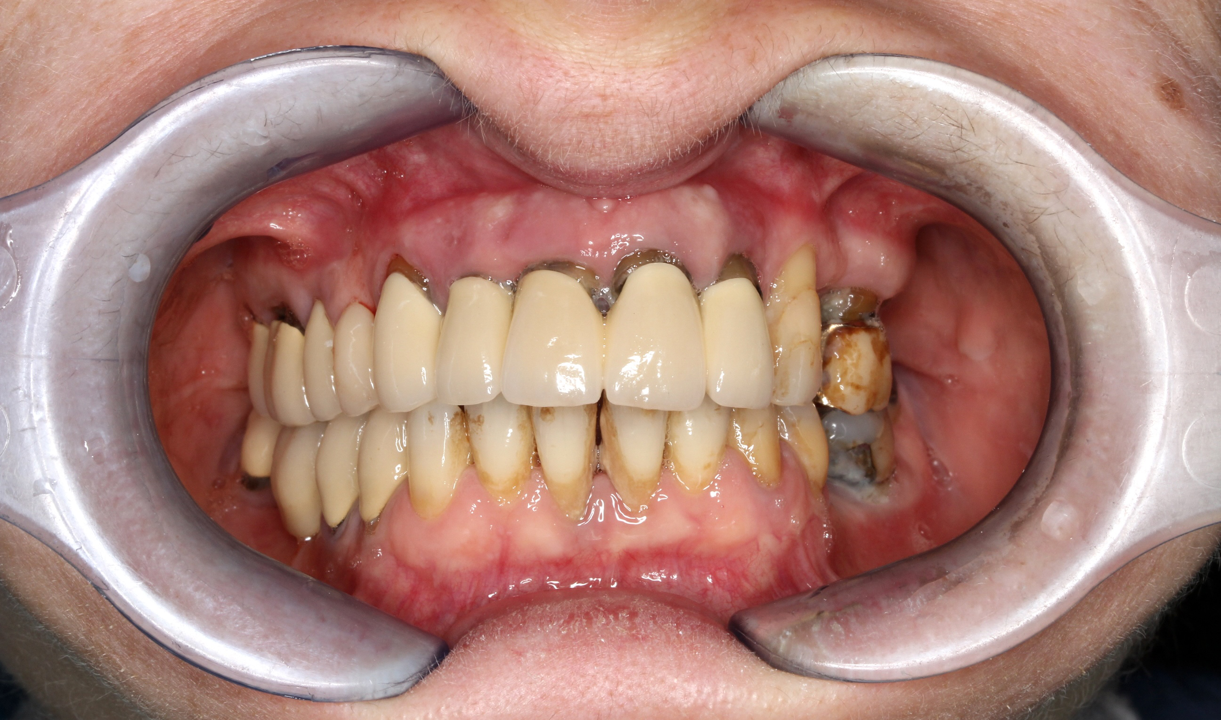
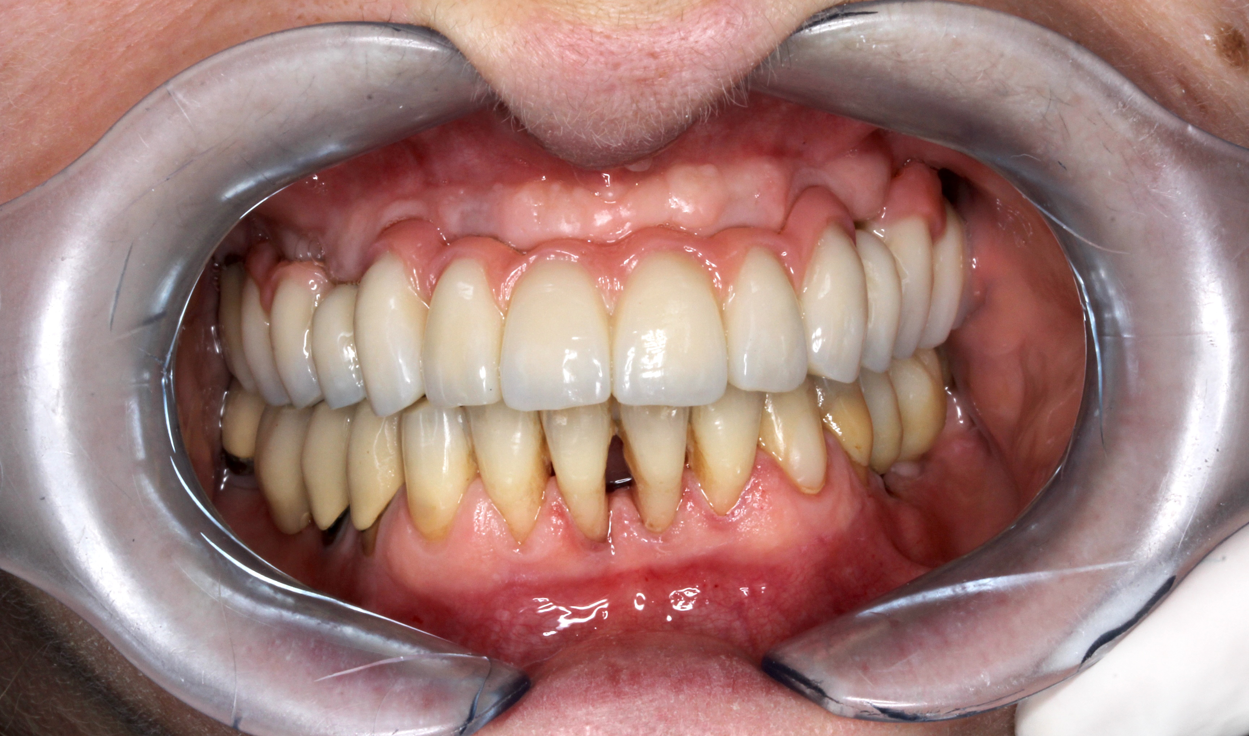
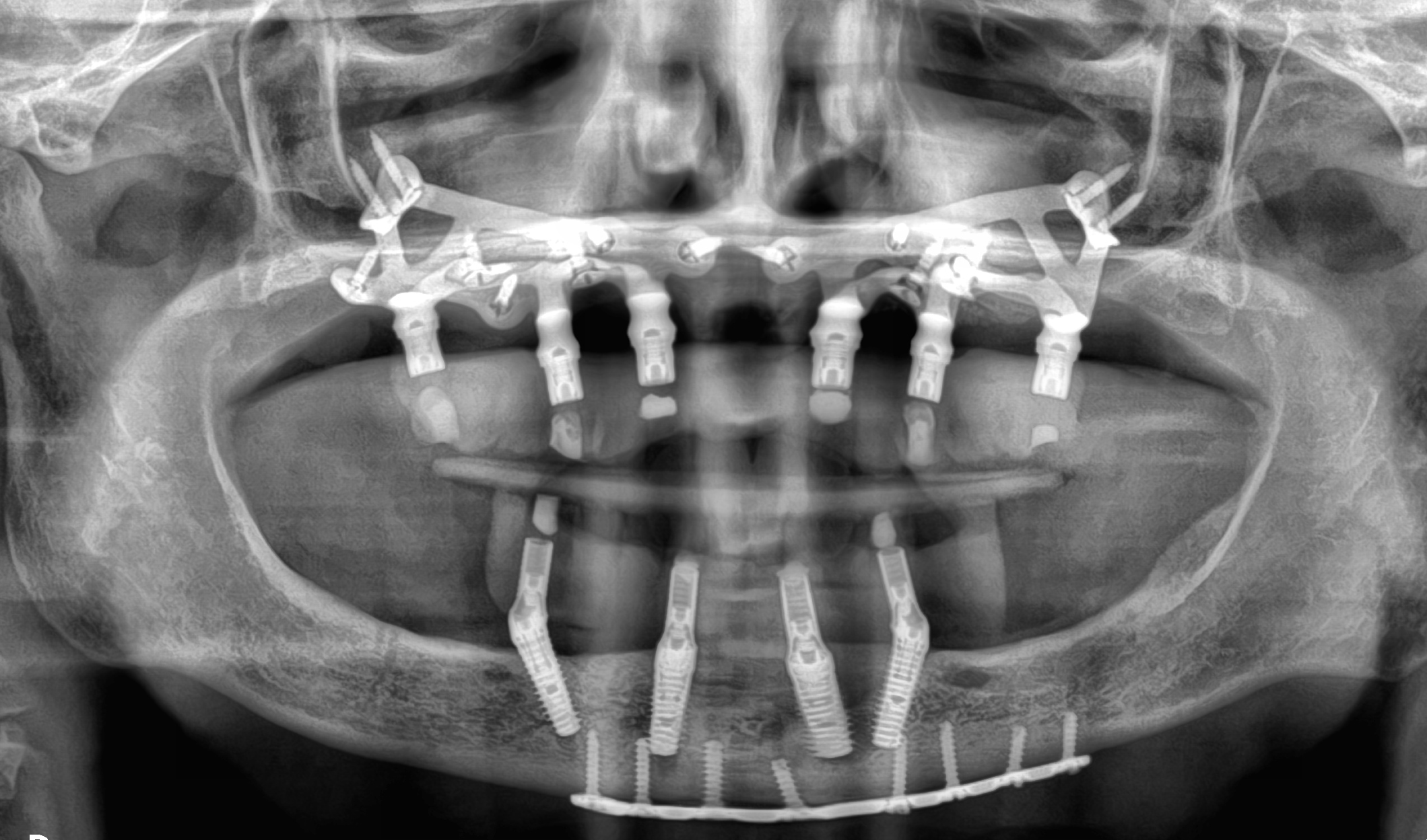
Caso 5

A causa di vari problemi di salute, la paziente si trova in una situazione di edentulia completa in entrambe le arcate. Le attuali protesi mobili sono per lei fonte di forte insicurezza a causa della loro mobilità. Nonostante la scarsità di osso mascellare e la presenza di viti di osteosintesi nella mandibola si procede con una riabilitazione fissa su entrambe le arcate combinando impianti tradizionali (mandibola) con impianti iuta-gengivali, nella mascella.

PRIMA

DOPO