Igiene dentale

L’igiene dentale è una prestazione fondamentale che consiste nella rimozione di placca e tartaro dalla superficie dei denti.
Se eseguita regolarmente, non solo contribuisce a mantenere la bocca pulita, ma rappresenta anche un’importante forma di prevenzione, permettendo di intercettare tempestivamente eventuali carie o patologie che possono insorgere all’interno del cavo orale, come la malattia parodontale (la più diffusa) e altre lesioni a carico delle mucose che, nei casi più gravi, possono evolvere in forme precancerose o cancerose.

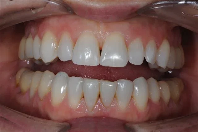
PRIMA

DOPO

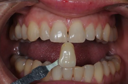
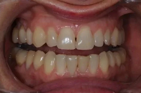
Sbiancamento

Lo sbiancamento dentale è un trattamento odontoiatrico a finalità esclusivamente estetica, che consiste nell’applicazione sulla su- perficie dei denti di un prodotto sbiancante che, liberando ossigeno, consente di ottenere una colorazione più chiara.
Esistono due tipologie di sbiancamento:
- Domiciliare: prevede l’utilizzo di perossido di carbammide al 10–16%. È indicato per trattamenti domiciliari più prolungati, poiché risulta meno aggressivo per lo smalto dentale.
- Professionale: viene eseguito in studio mediante l’impiego di perossido di idrogeno al 40%, che agisce più rapidamente (circa 60 minuti). La scelta del trattamento viene concordata con il paziente, tenendo conto delle sue esigenze, della motivazione e della costanza nel seguire le indicazioni fornite.

PRIMA

DOPO