Riabilitazioni estetiche combinate

Le riabilitazioni estetiche combinate rappresentano la massima espressione di un approccio odontoiatrico multidisciplinare, volto
a restituire al sorriso un’armonia naturale e funzionale. Attraverso l’integrazione sinergica di ortodonzia, protesi estetica (faccette) e chirurgia plastica parodontale (innesti), interveniamo in modo coordinato sulla posizione dei denti, sulla loro morfologia e sui profili gengivali. Questo protocollo integrato ci permette di risolvere inestetismi complessi preservando la struttura dei denti naturali, garantendo risultati d’eccellenza che coniugano una bio-integrazione ottimale con una stabilità estetica duratura nel tempo.

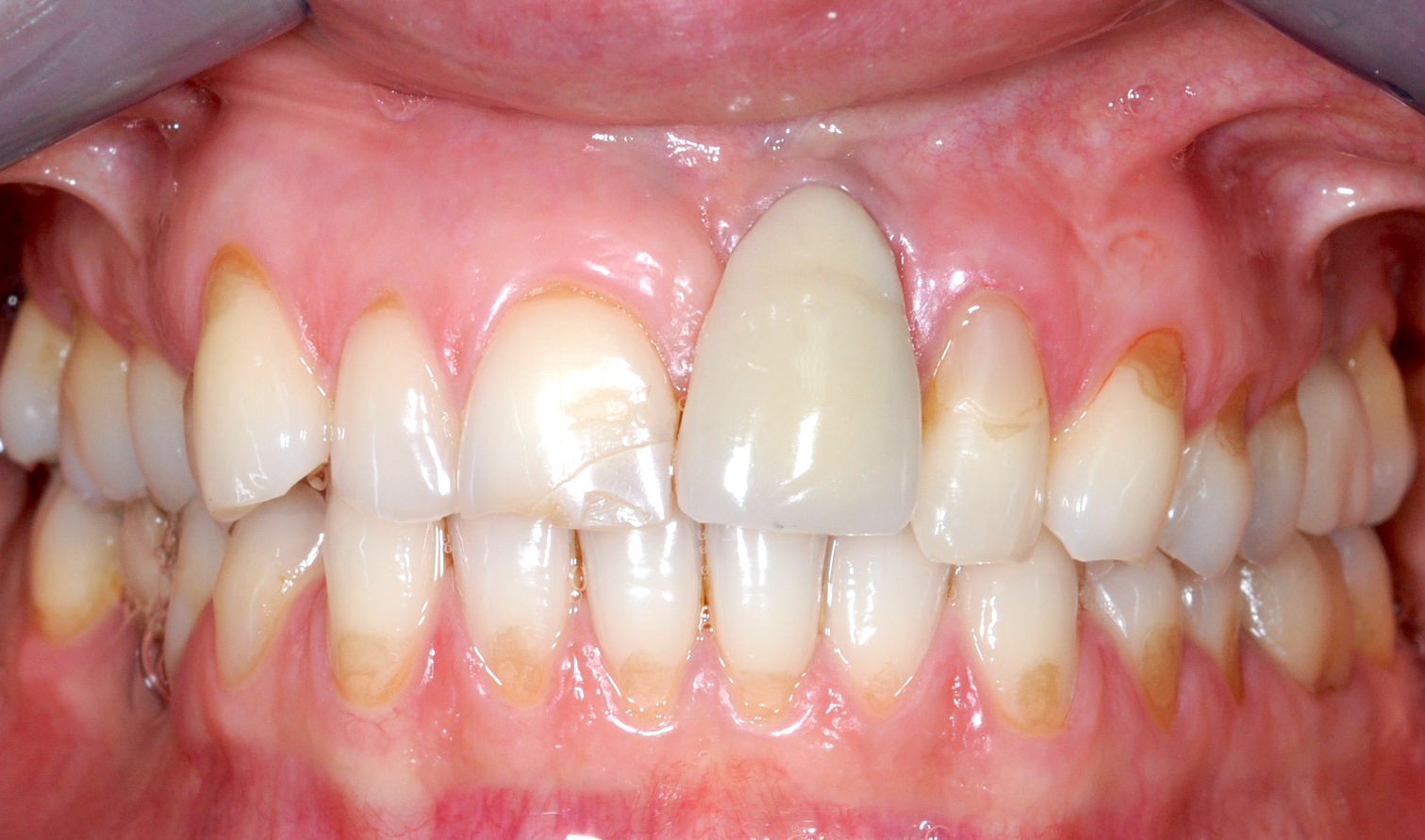
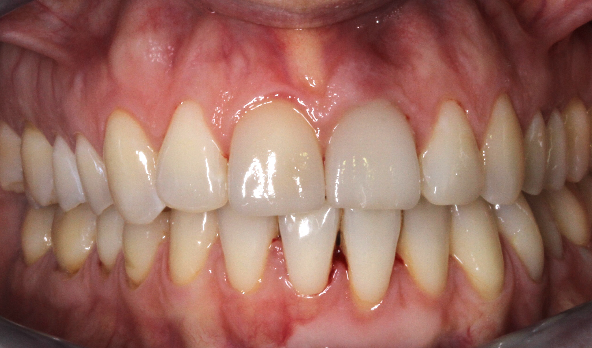
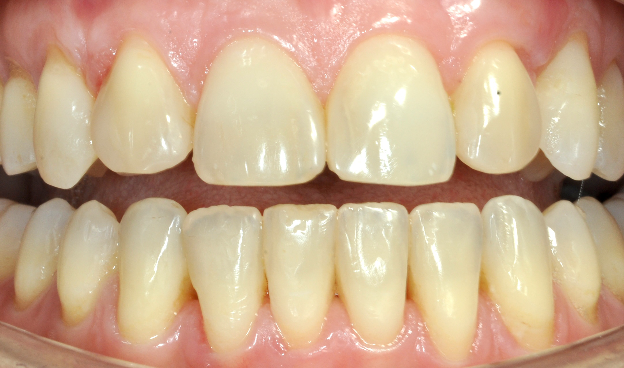
CASO 1
Ortodonzia + protesi estetica

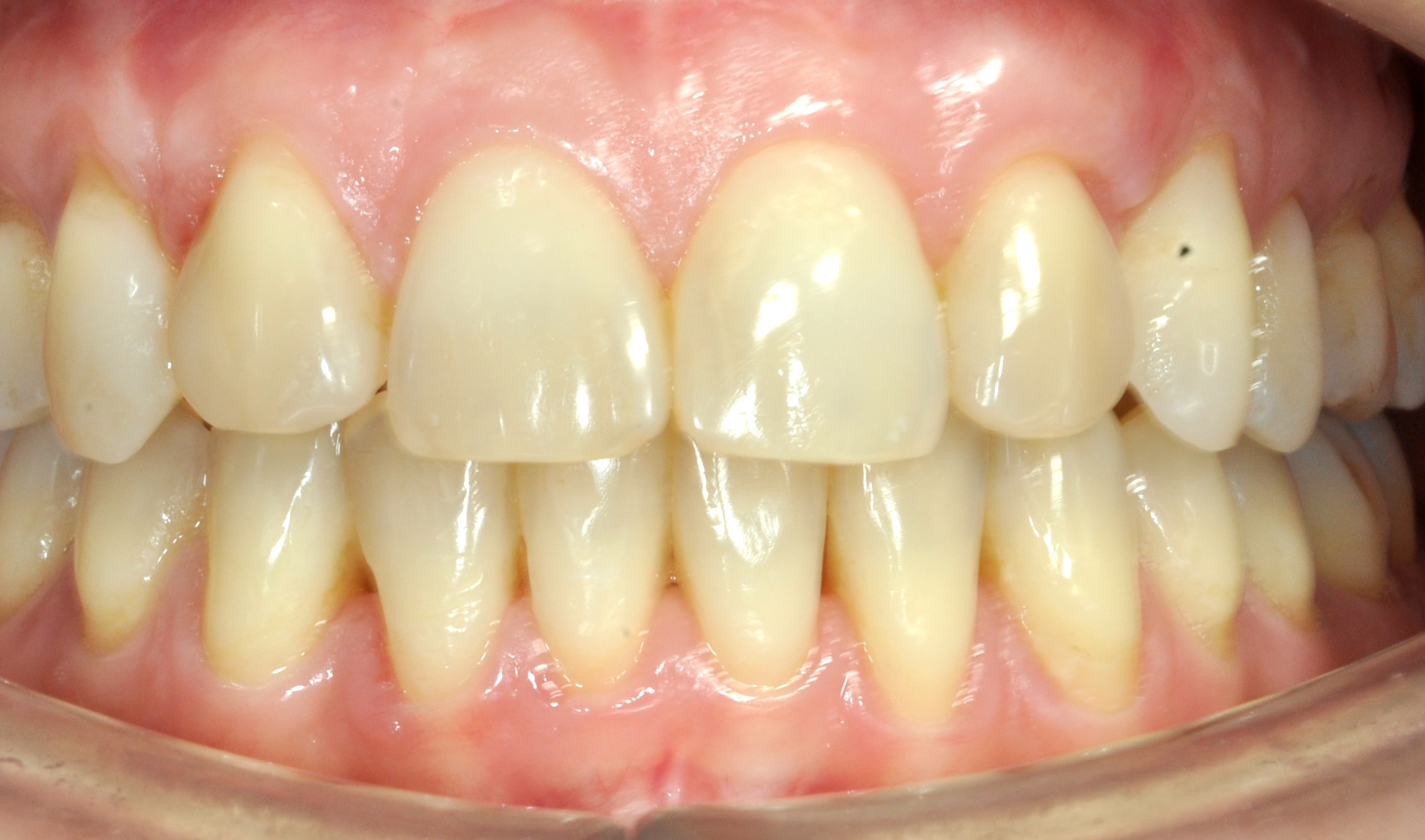
PRIMA

DOPO


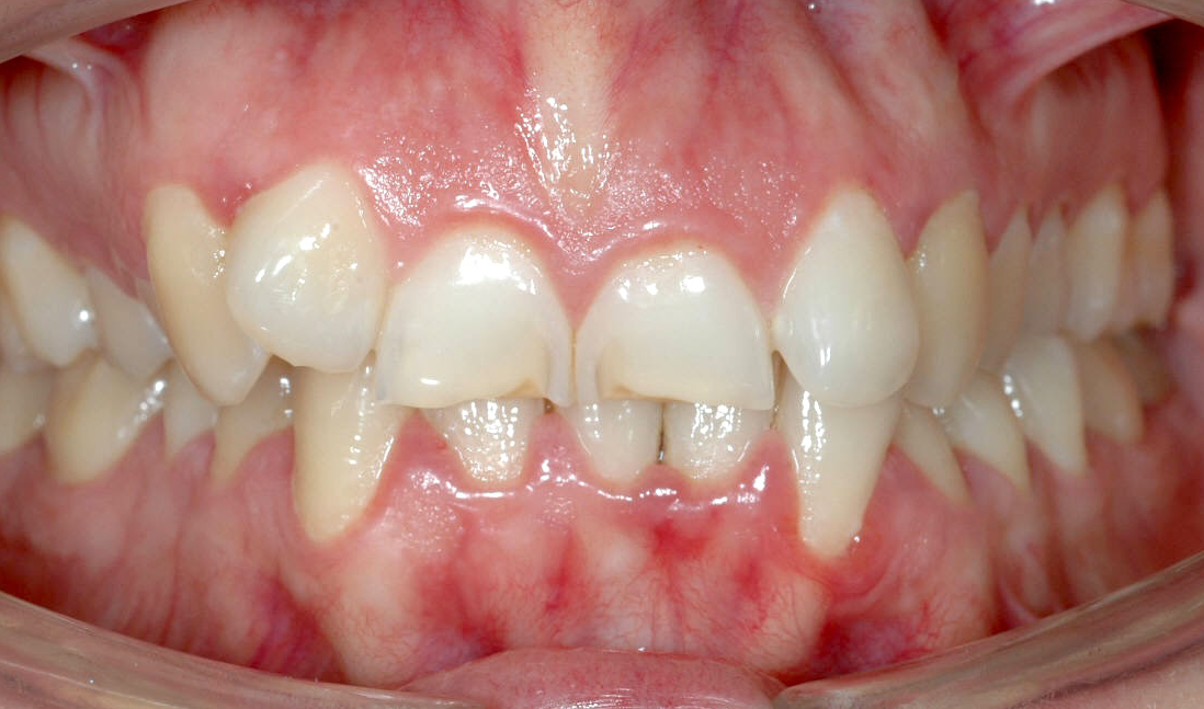
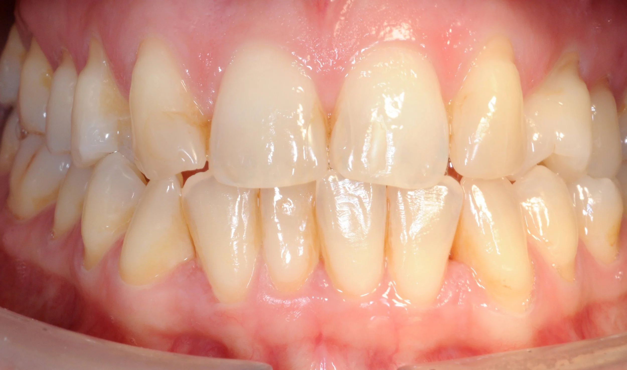
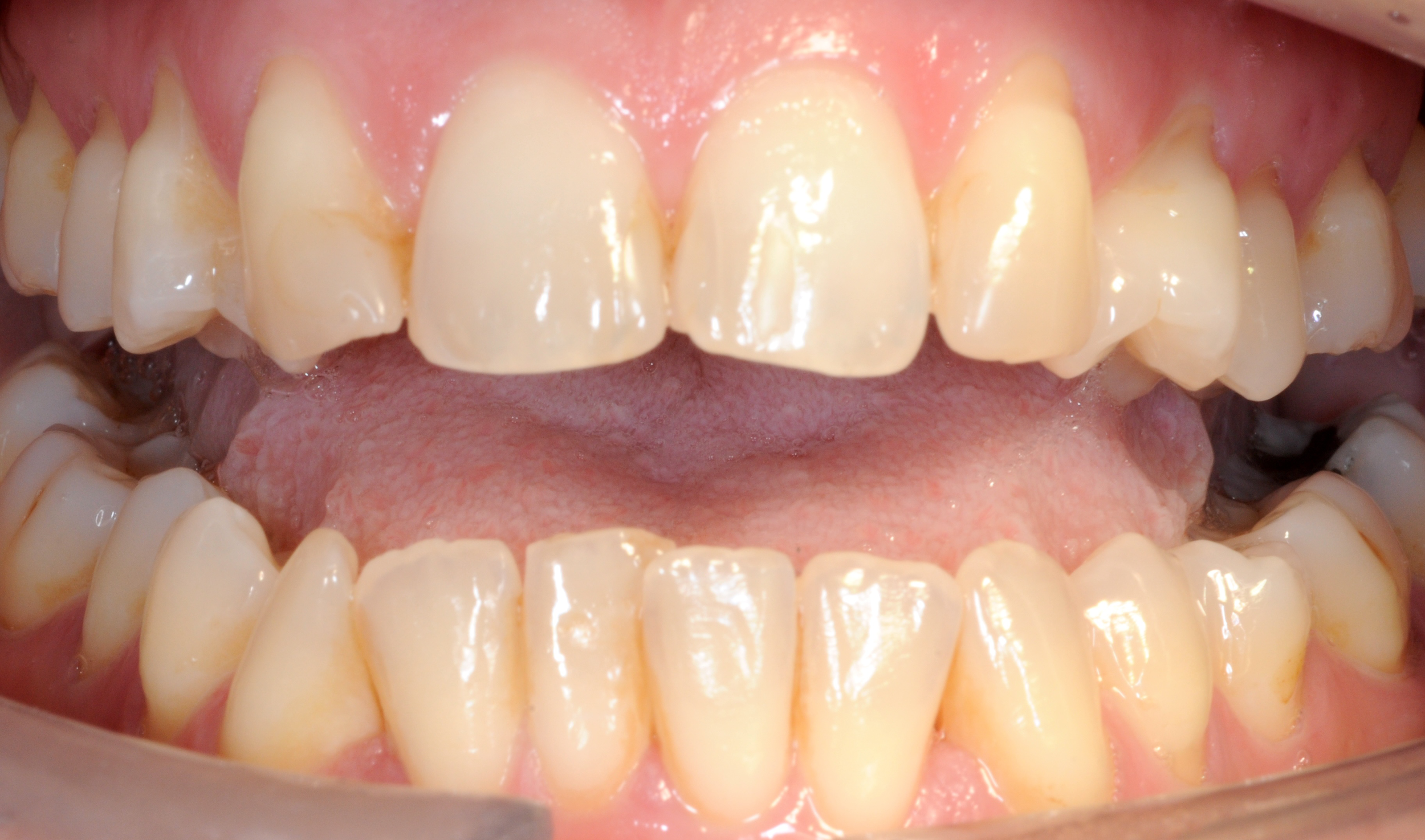
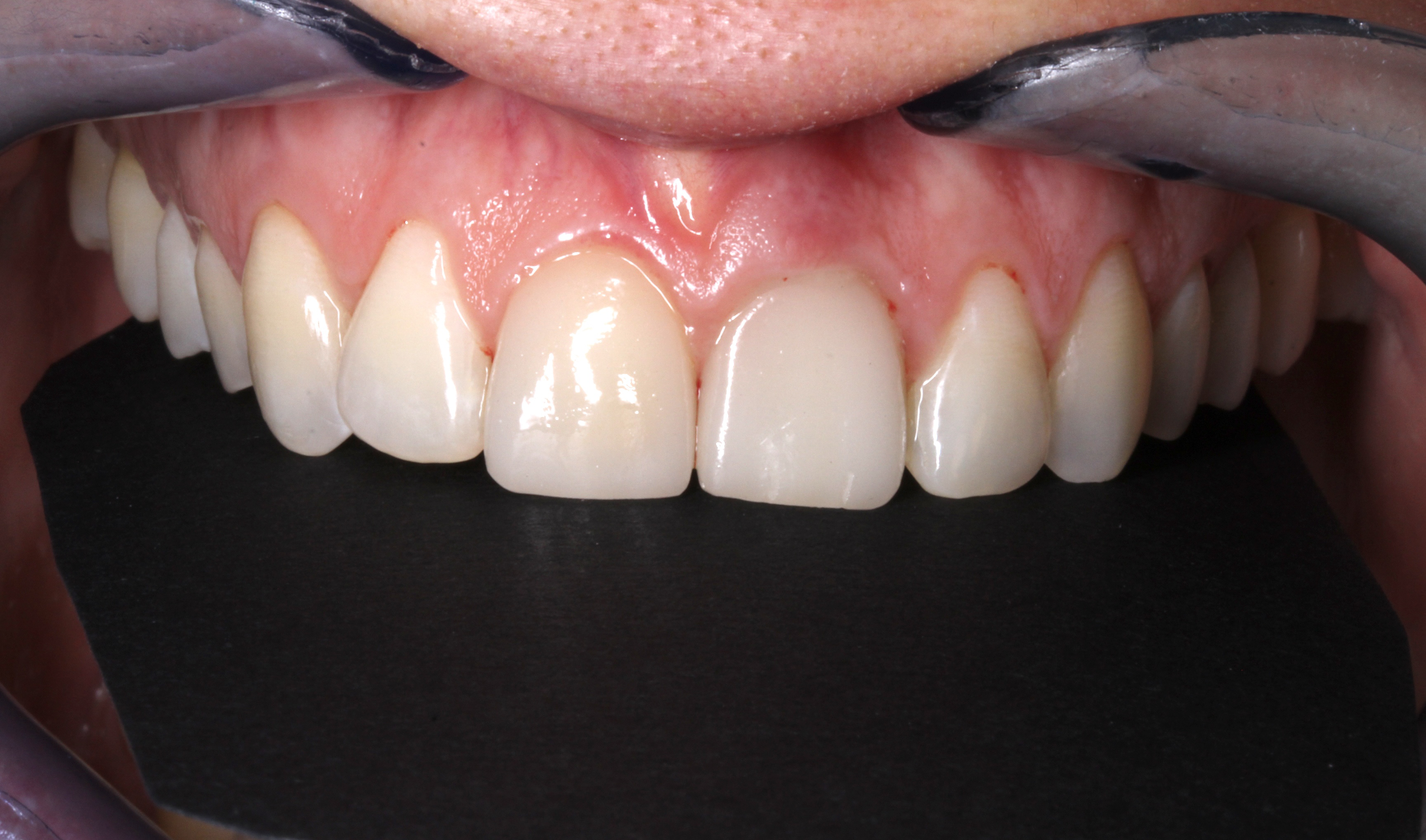
CASO 2
Ortodonzia + Protesi estetica dal 2007 ad oggi

PRIMA

DOPO


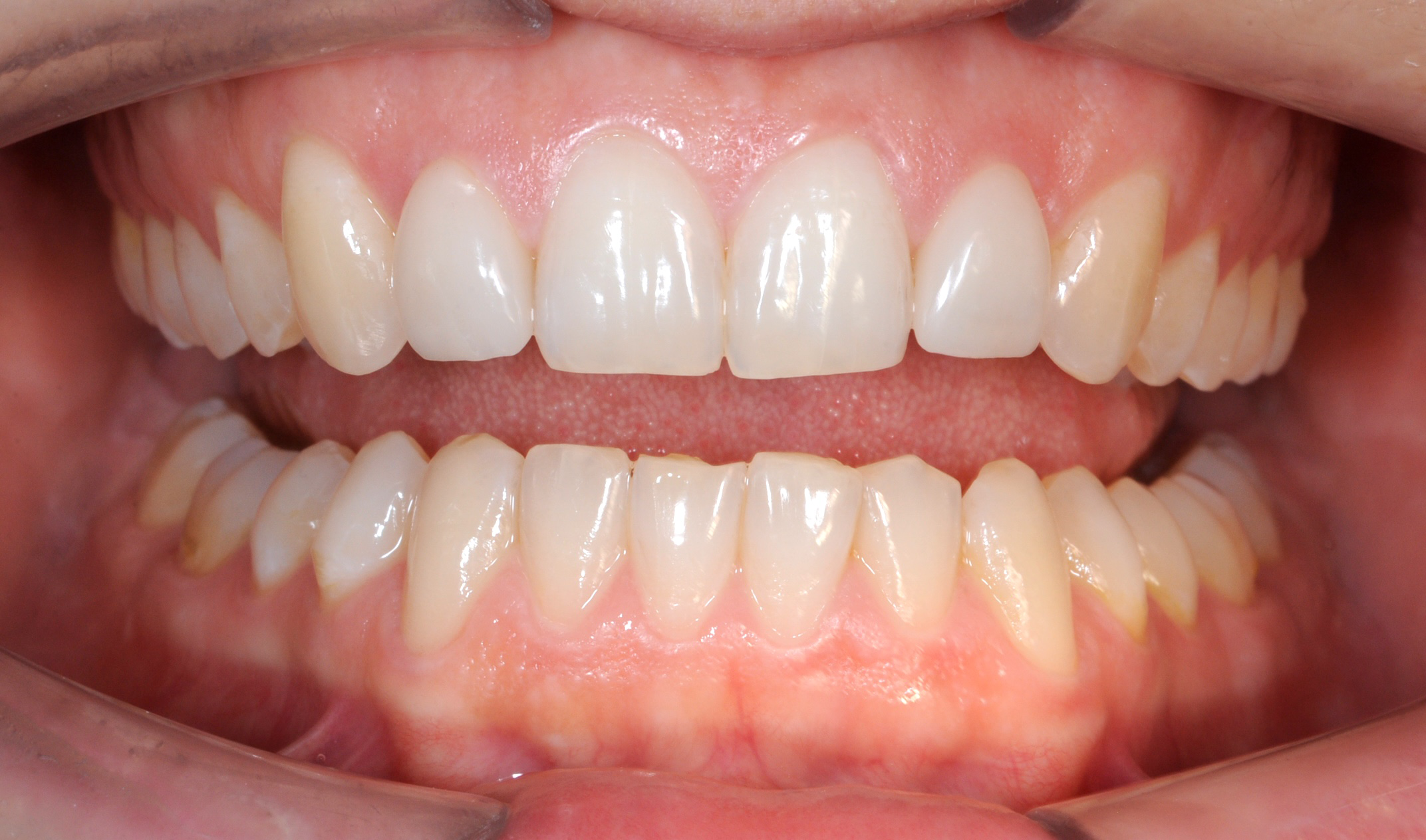
CASO 3
Ortodonzia, chirurgia ortognatica, parodontologia e conservativa

PRIMA

DOPO


Grazie a questo approccio combinato possiamo anche risolvere casi di gravi inestetismi e recu- perare situazioni compromesse come il caso di seguito:

PRIMA

DOPO