Ortodonzia con allineatori

Gli allineatori trasparenti sono dispositivi ortodontici rimovibili progettati per correggere gradualmente la posizione dei denti. Realizzati in materiale plastico sottile e quasi invisibile, vengono creati su misura per ogni paziente.

Possono essere utilizzati sia in età evolutiva sia nei pazienti adulti per il trattamento delle malocclusioni dentali.

Ogni trattamento con allineatori è sempre personalizzato: dopo una valutazione clinica accurata e una pianificazione digitale, l’ortodontista definisce un percorso terapeutico su misura per guidare i denti verso la posizione corretta in modo progressivo e controllato. Tra i principali vantaggi degli allineatori trasparenti vi sono la possibilità di mantenere più facilmente una corretta igiene orale, la discrezione estetica e il comfort durante il trattamento.

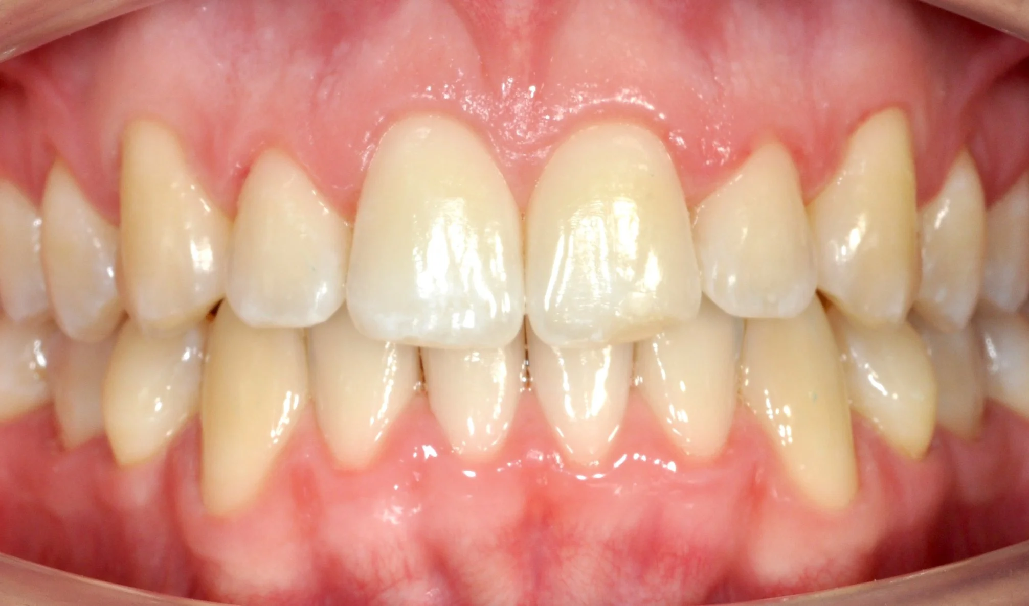
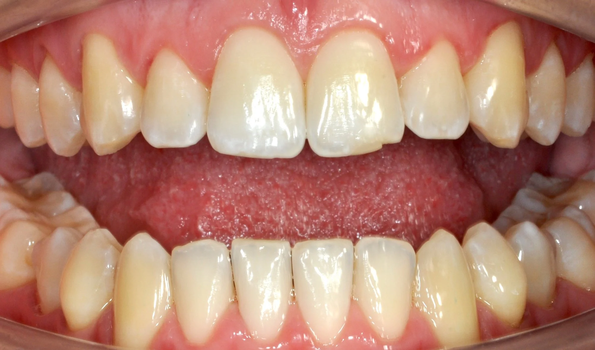
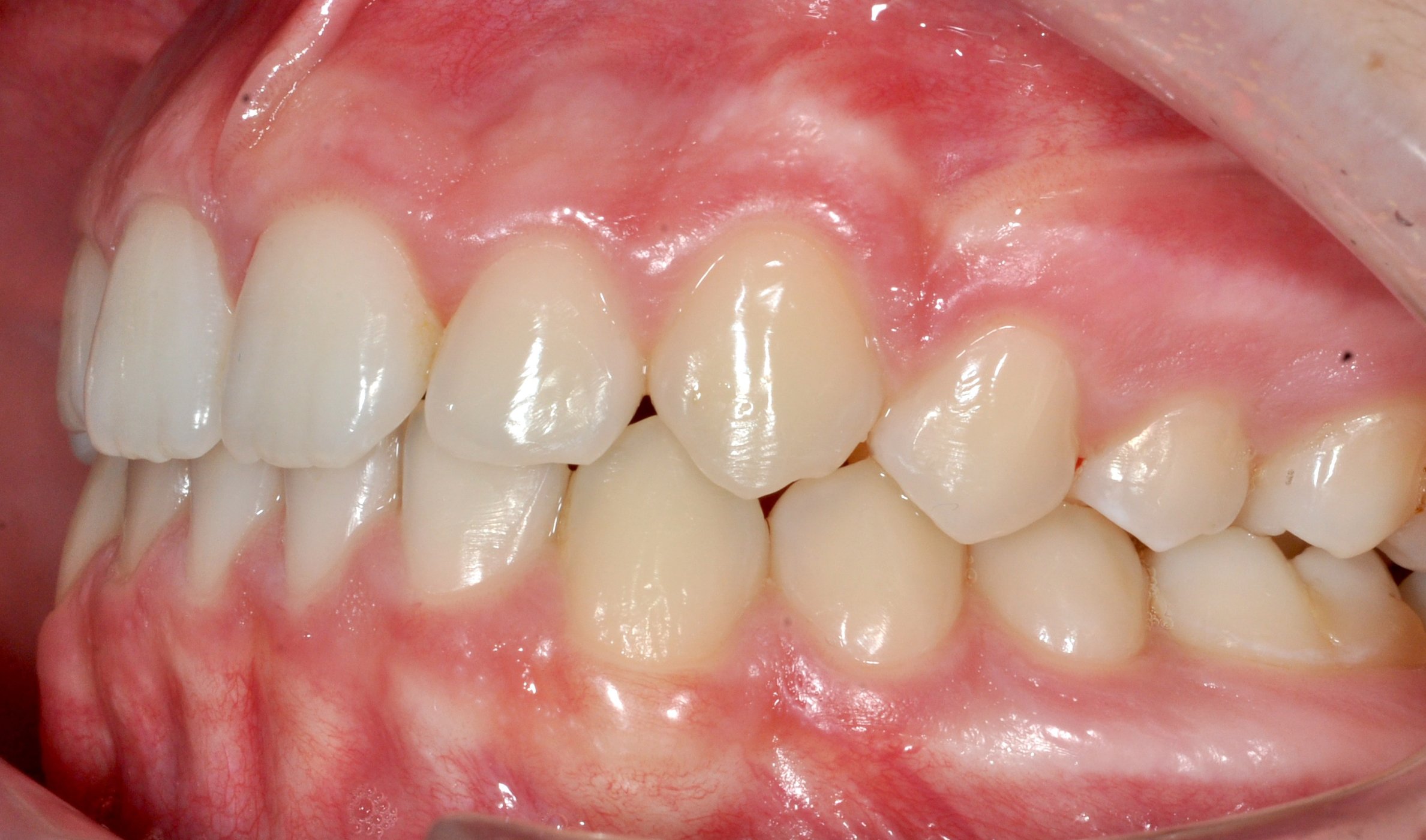
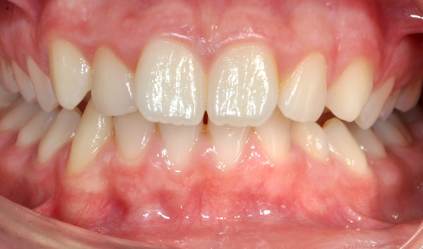
Caso 1 – Allineatori trasparenti in età evolutiva

Giovane paziente in fase di crescita con denti superiori troppo in avanti rispetto agli inferiori, arcate strette e rotazioni importanti di alcuni elementi.

Grazie al trattamento con allineatori trasparenti, in 18 mesi è stato possibile accompagnare la crescita, correggere l’allineamento dei denti e migliorare il rapporto tra le arcate, ottenendo un sorriso più armonioso e funzionale.

PRIMA

DOPO


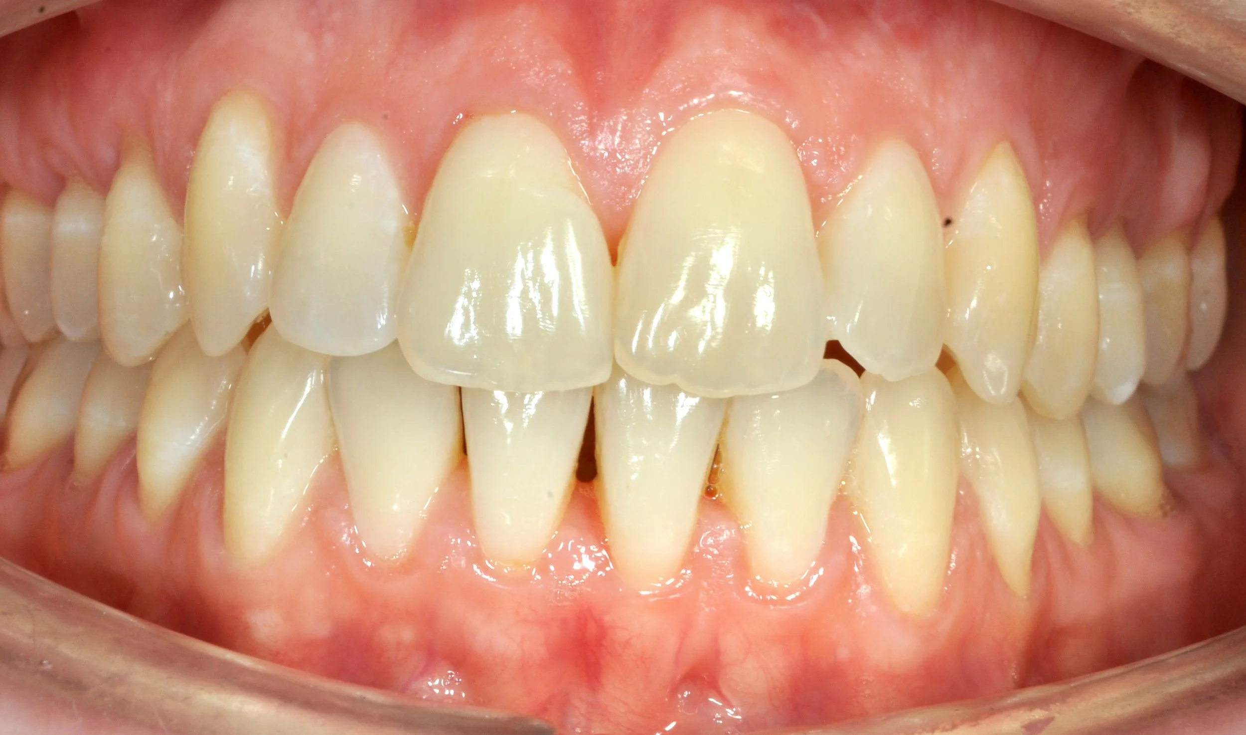
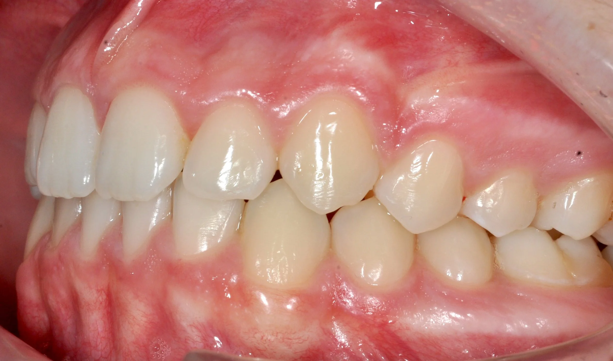
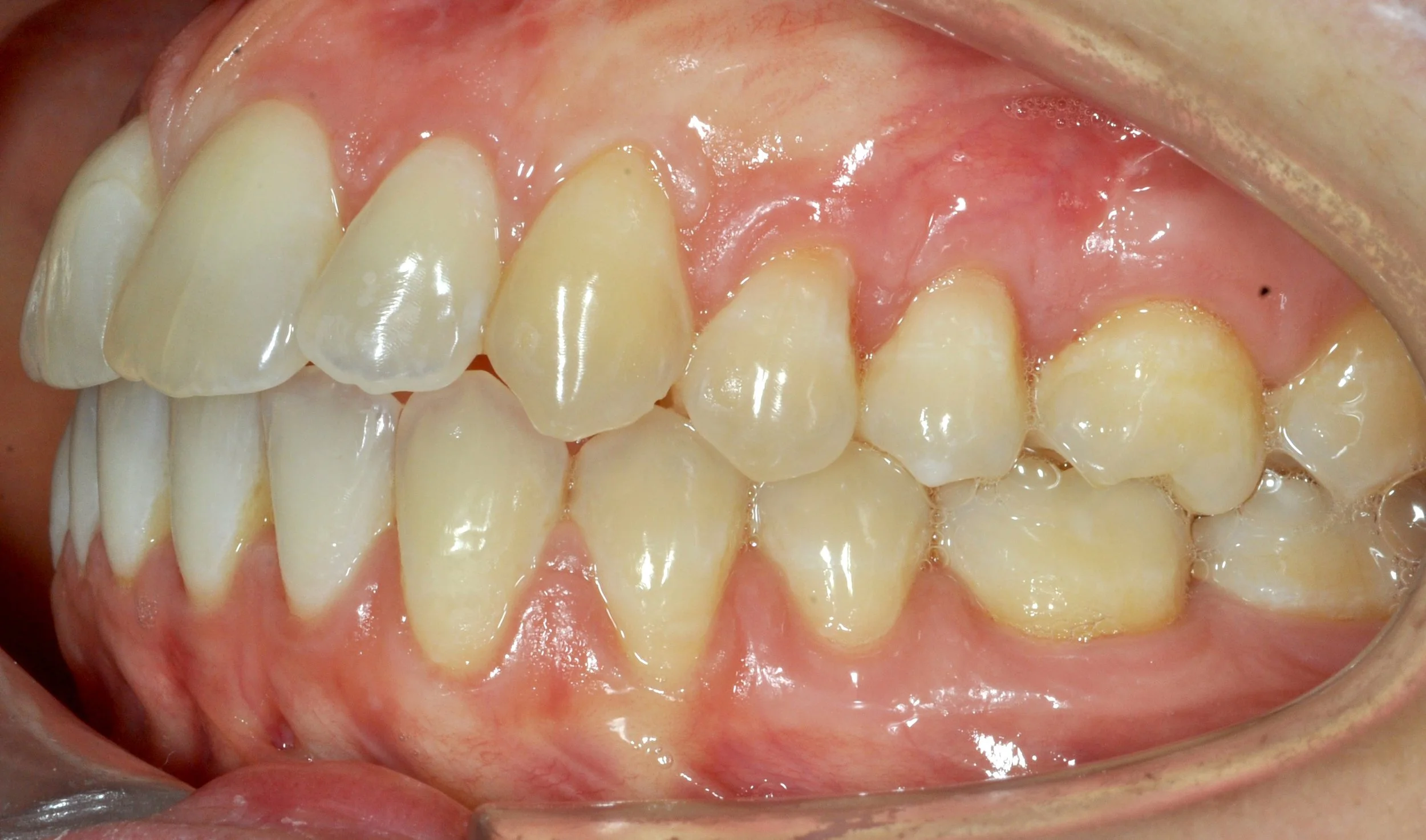
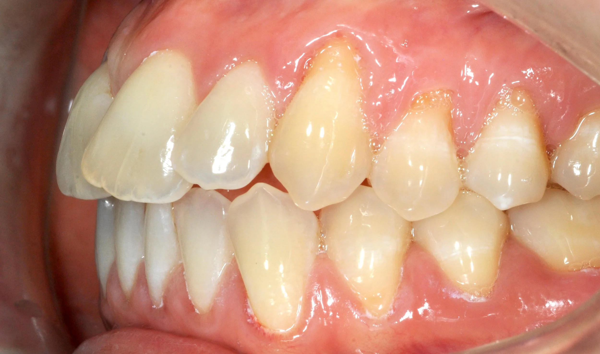
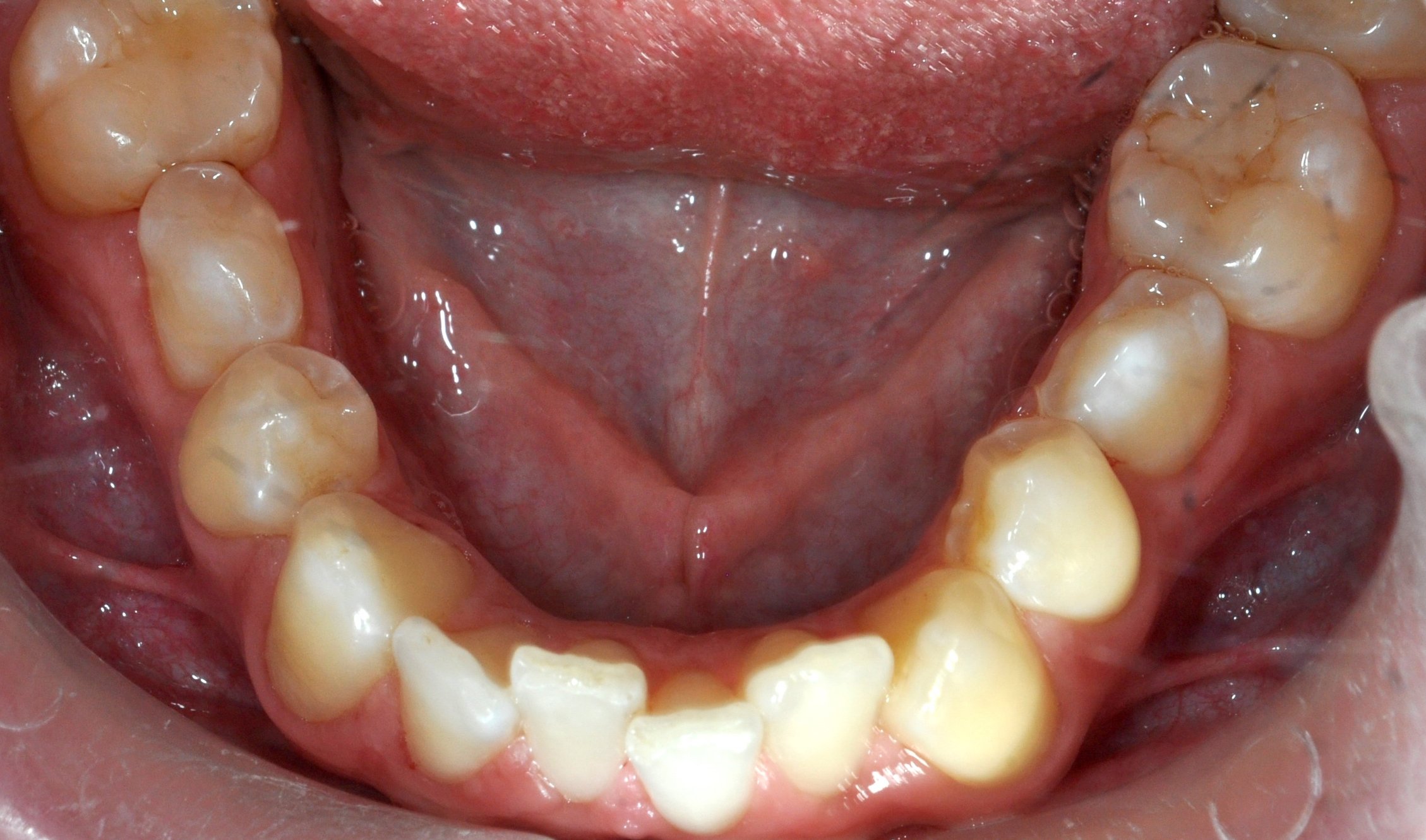
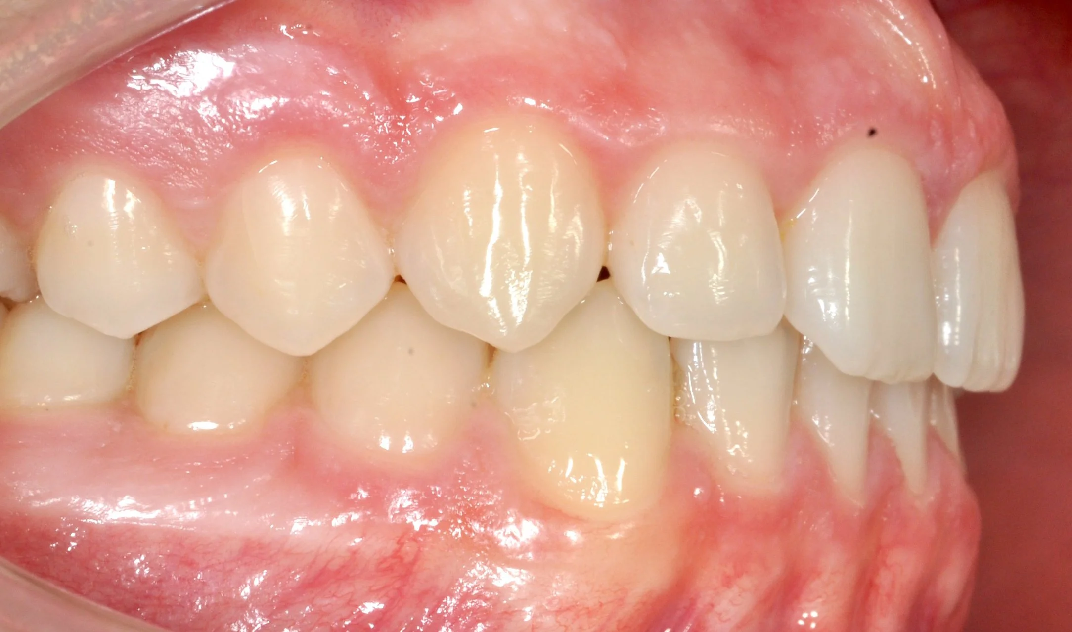
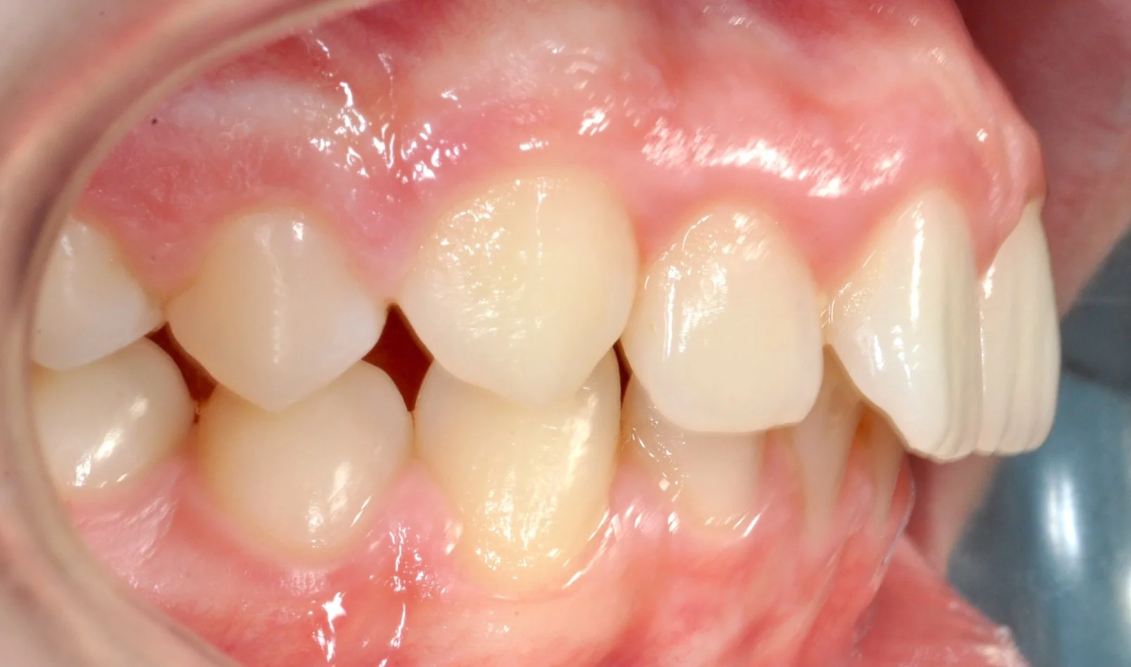
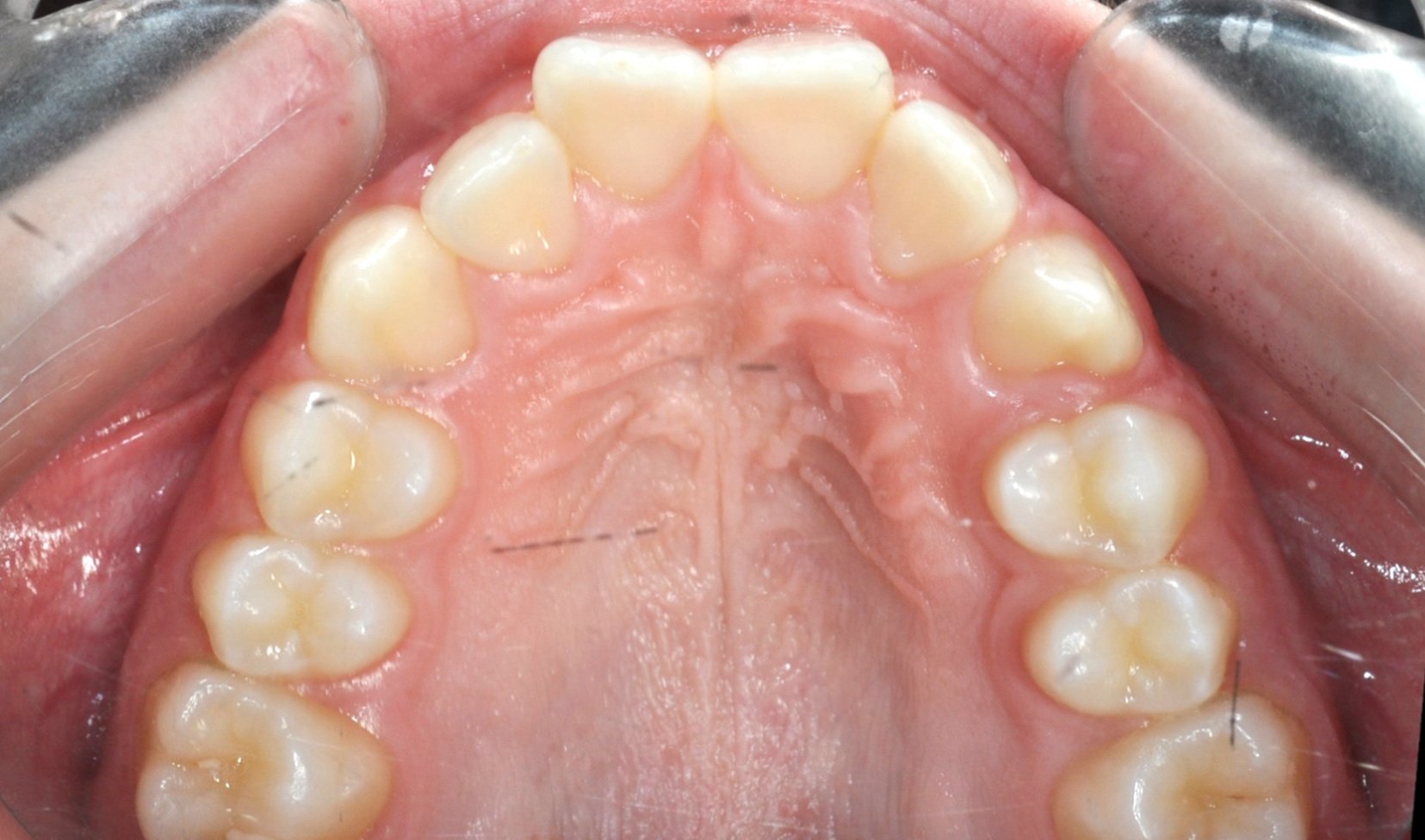
Caso 2 – Allineatori trasparenti in paziente adulto

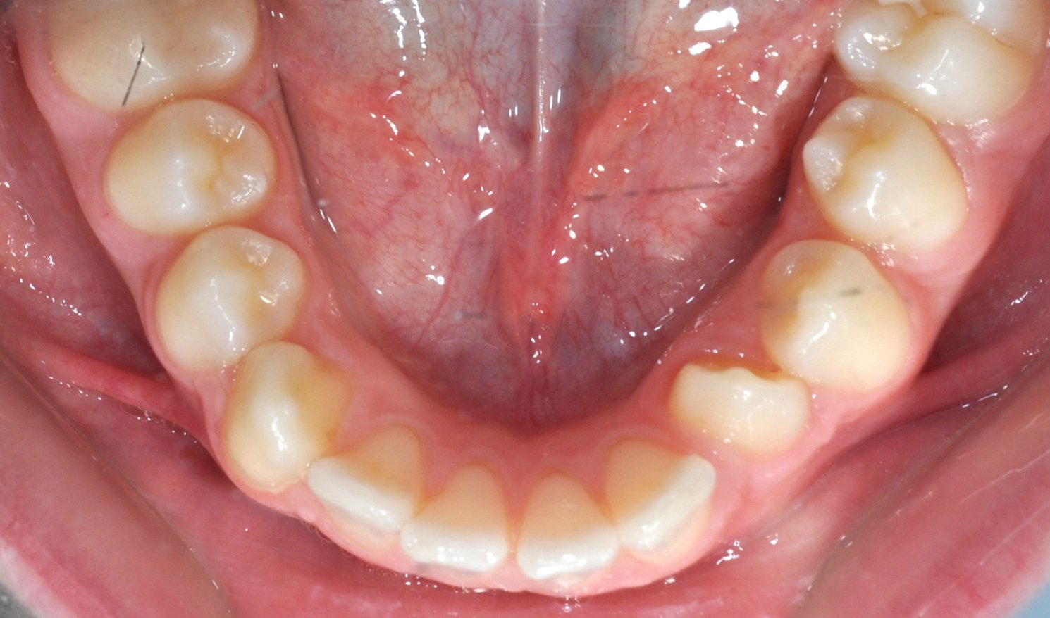
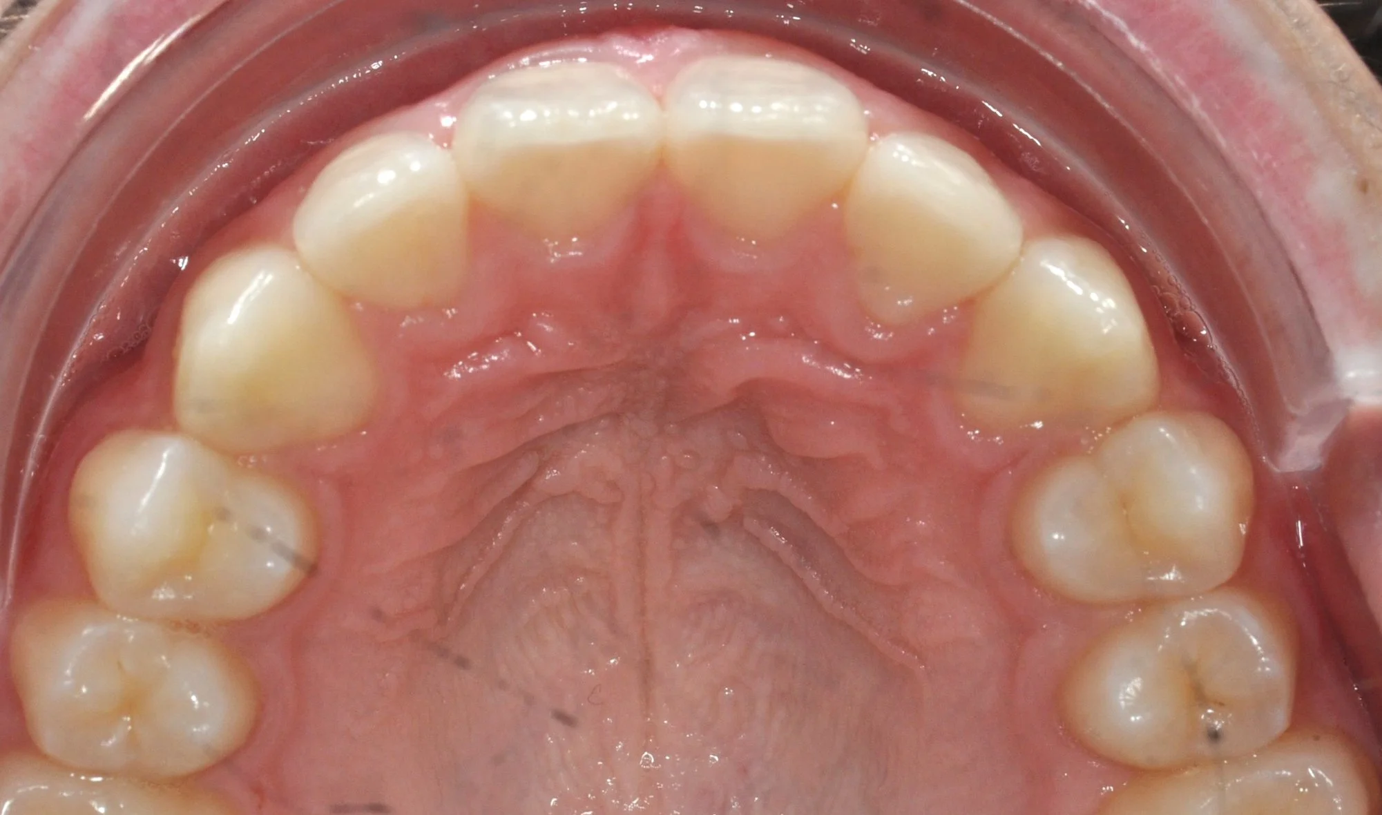
Paziente adulto con importante affollamento dei denti inferiori, arcate strette e tendenza al morso aperto, con difficoltà nel corretto contatto tra i denti superiori e inferiori.

Il trattamento con allineatori trasparenti ha permesso, in circa 18–20 mesi, di riallineare i denti, ampliare le arcate e migliorare la chiusura del morso, ottenendo un risultato stabile, funzionale ed esteticamente armonioso.

PRIMA

DOPO


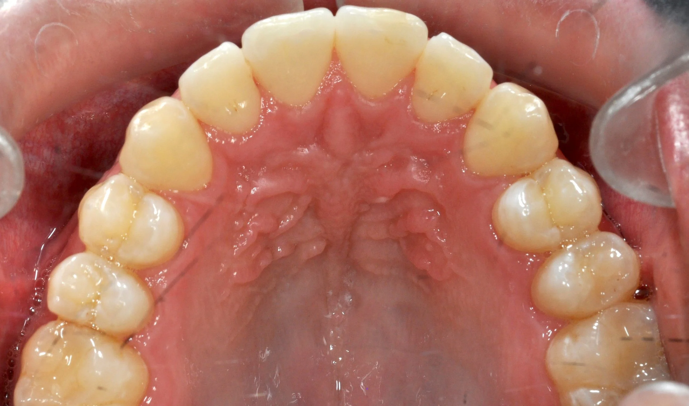
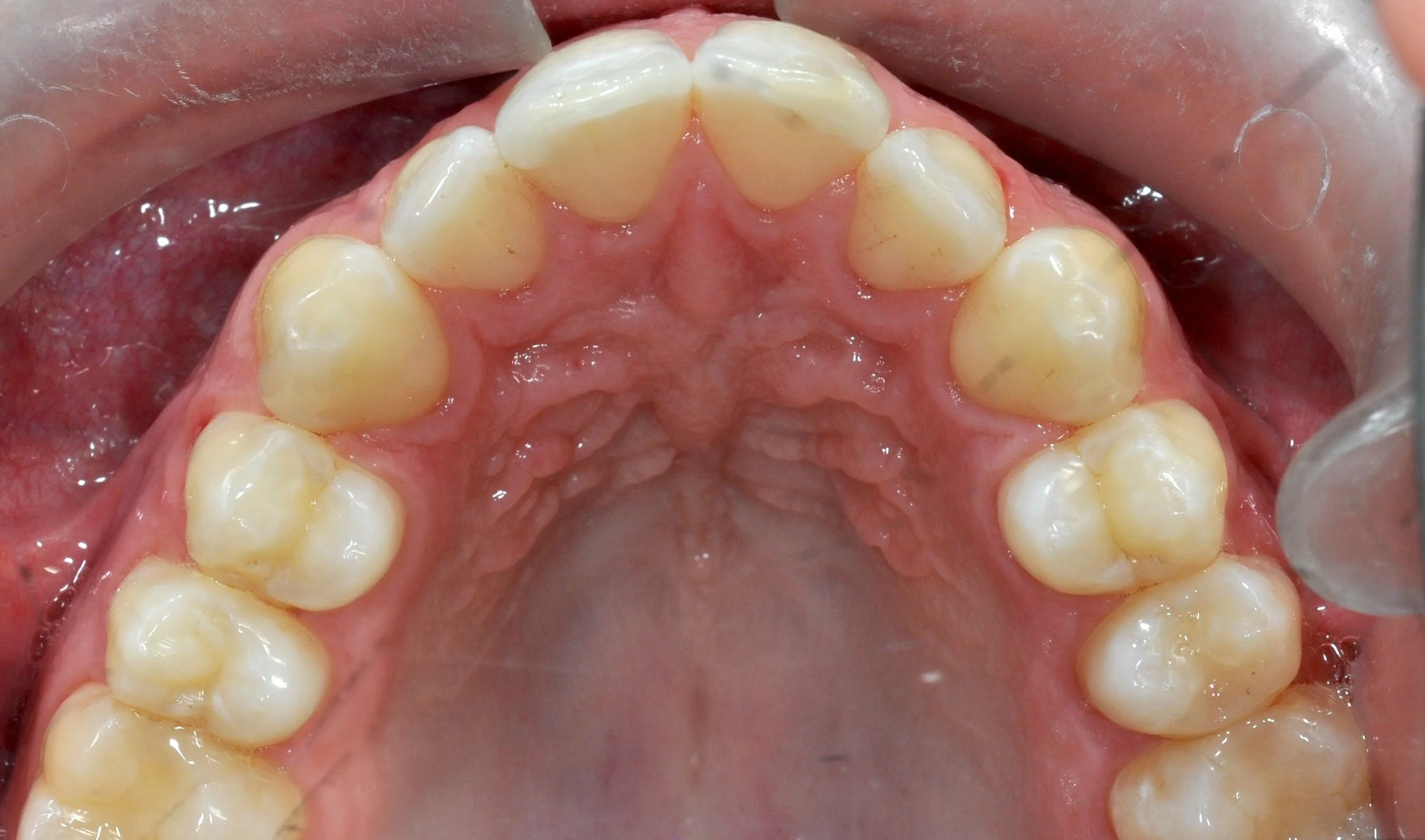
Caso 3 – Trattamento multidisciplinare in paziente adulto

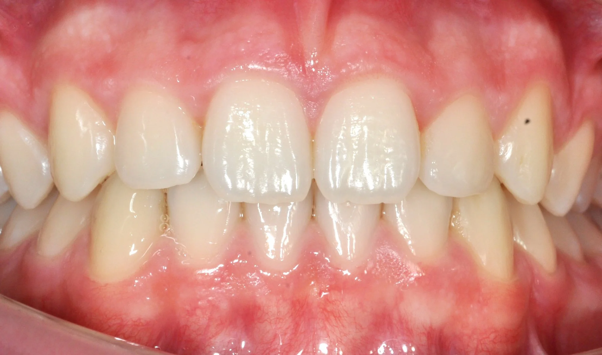
Paziente adulto con incisivi malposizionati e recessioni gengivali, con esposizione della radice e disagio estetico.

Il caso è stato gestito con un approccio multidisciplinare, in stretta collaborazione con il parodontologo: prima è stata corretta la posizione dei denti mediante allineatori trasparenti, creando le condizioni ideali per la salute gengivale; successivamente le recessioni sono state trattate con un intervento mucogengivale.

Il lavoro di team ha permesso di ottenere un risultato armonioso, stabile e attento non solo all’estetica, ma soprattutto alla salute a lungo termine.

PRIMA

DOPO