ortodonzia e gnatologia

L’ortodonzia o ortognatodonzia, è la branca dell’odontoiatria che si occupa della diagnosi, della prevenzione e del trattamento delle malocclusioni, ovvero delle alterazioni nella posizione dei denti e nel rapporto tra le arcate dentarie.

Questa disciplina è strettamente collegata alla gnatologia, che studia il funzionamento dell’apparato masticatorio e i rapporti tra denti, articolazioni temporo-mandibolari e muscoli coinvolti nella masticazione. Un corretto equilibrio tra queste strutture è fondamentale per garantire una funzione masticatoria armonica e il benessere dell’intero sistema.

Attraverso diverse tipologie di apparecchi ortodontici, fissi o rimovibili, l’ortodonzia consente di allineare correttamente i denti e migliorare la funzione masticatoria, contribuendo anche all’equilibrio estetico del sorriso e del volto.

I trattamenti ortodontici possono essere eseguiti sia in età evolutiva sia nei pazienti adulti.

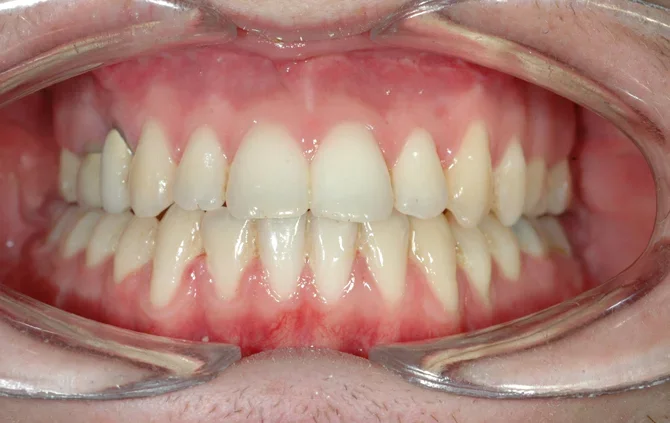
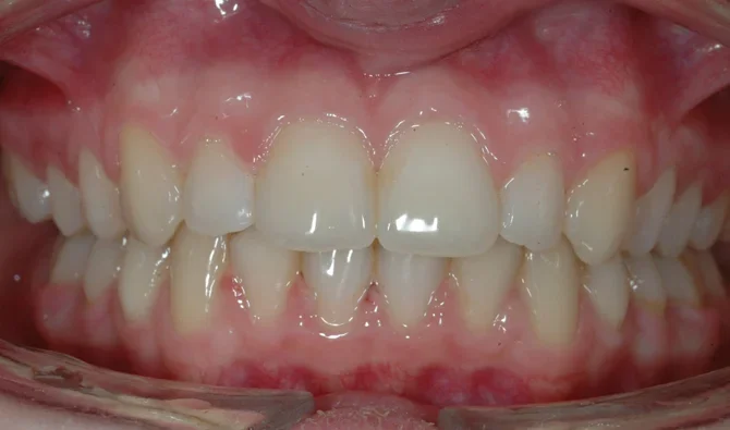
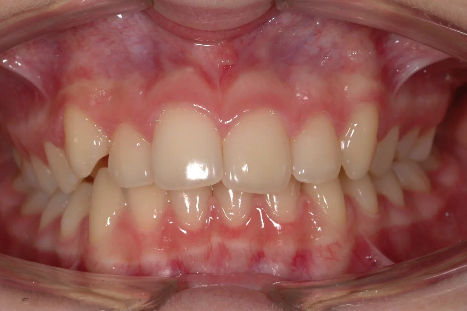
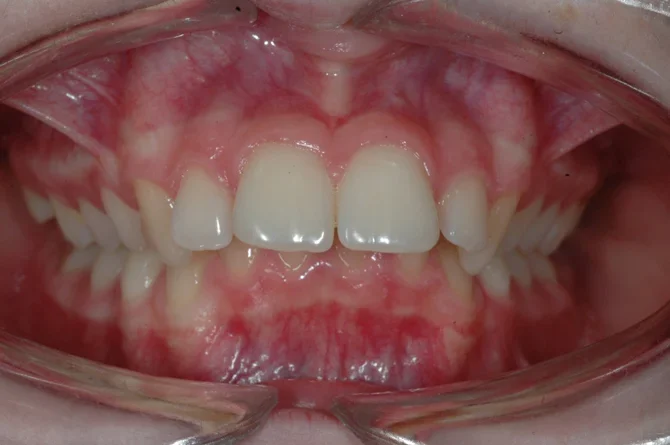
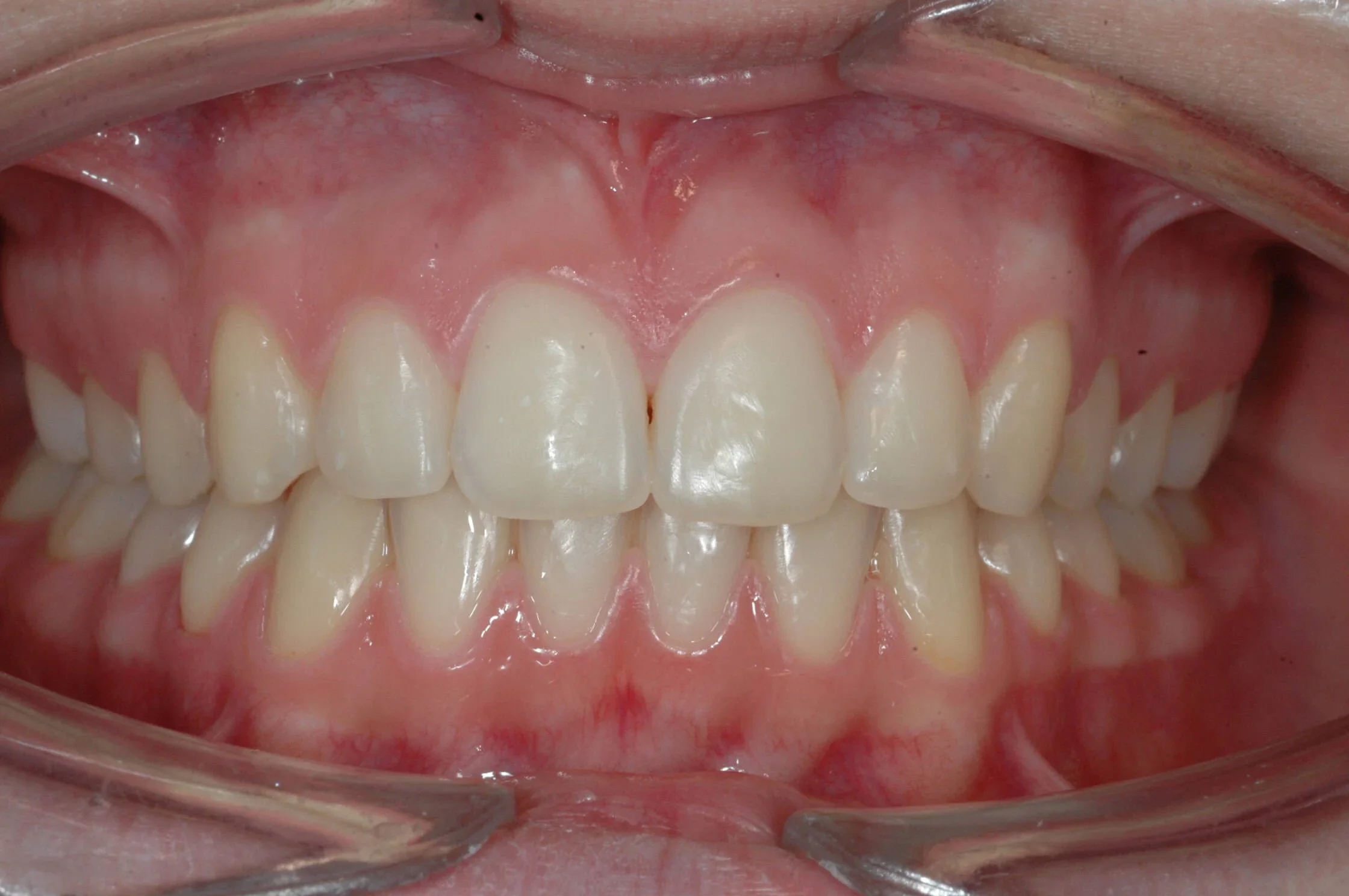
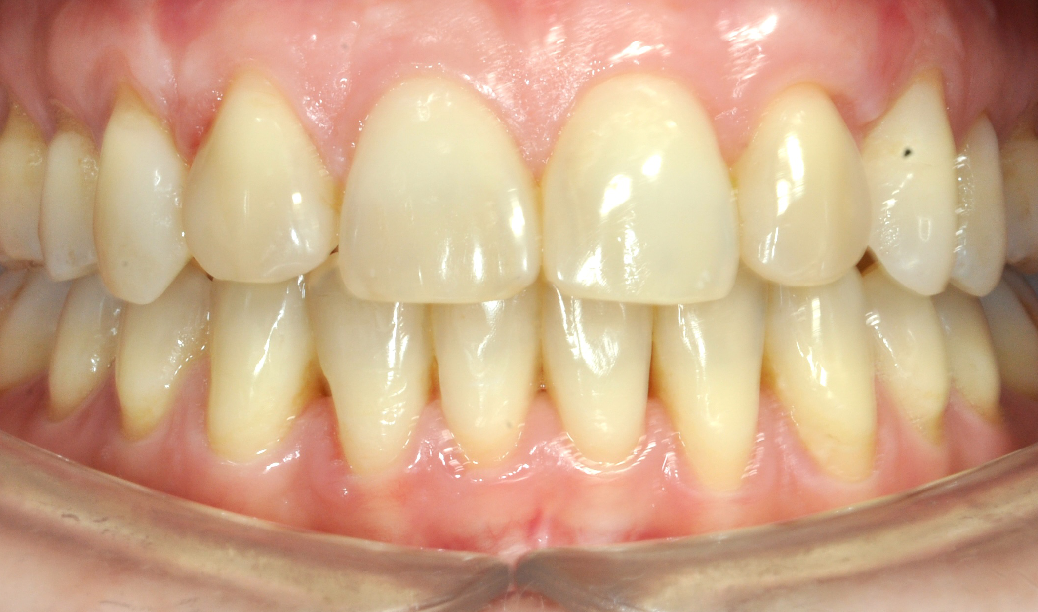
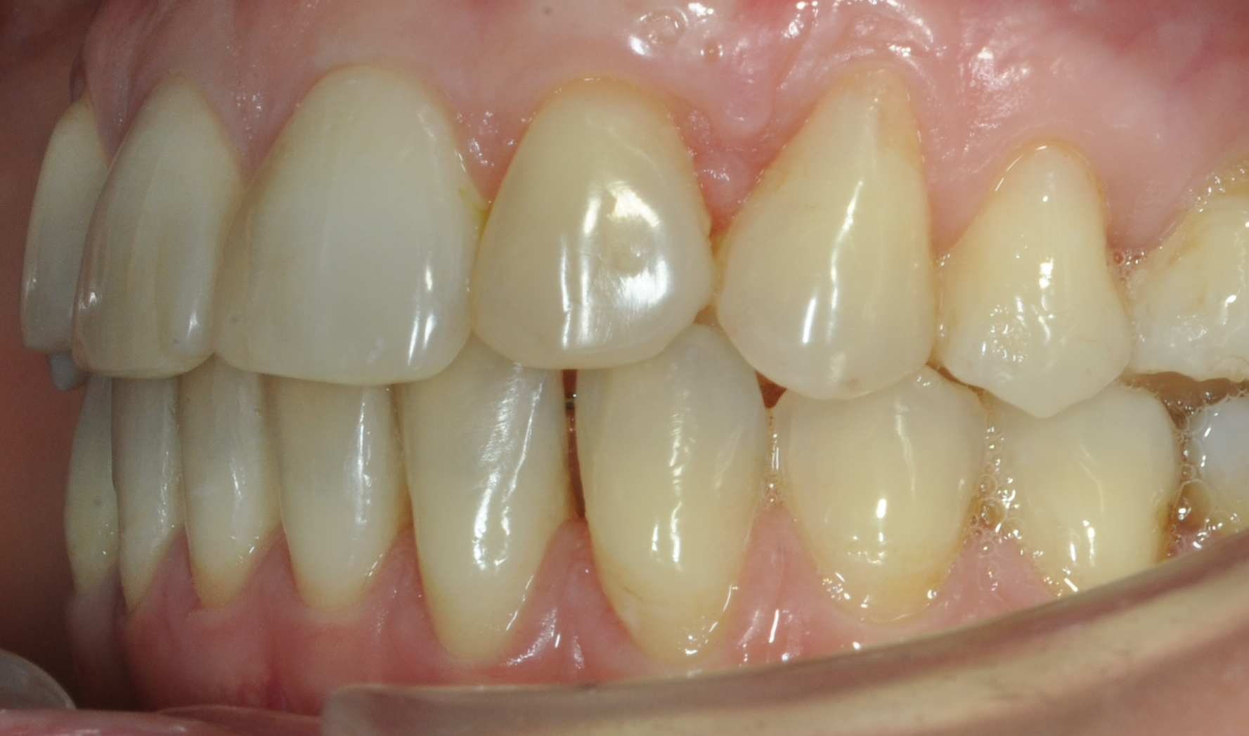
Caso 1 - Trattamento ortodontico e chirurgico multidisciplinare
Paziente con importante malocclusione dento-scheletrica, agenesie dentarie e problematiche estetico-funzionali che richiedevano un approccio combinato multidisciplinare. Il trattamento è stato eseguito con un percorso multidisciplinare: prima terapia ortodontica fissa su entrambe le arcate per allineare e preparare i denti, successivamente chirurgia or- tognatica per correggere i rapporti tra le ossa mascellari, e infine riabilitazione estetica con interventi mucogengivali e ricostruzioni dei denti anteriori. Questo approccio integrato ha permesso di ristabilire equilibrio, funzione ed estetica del sorri- so in modo completo e stabile nel tempo.

PRIMA

DOPO