La sinergia delle discipline porta a soluzioni efficaci.
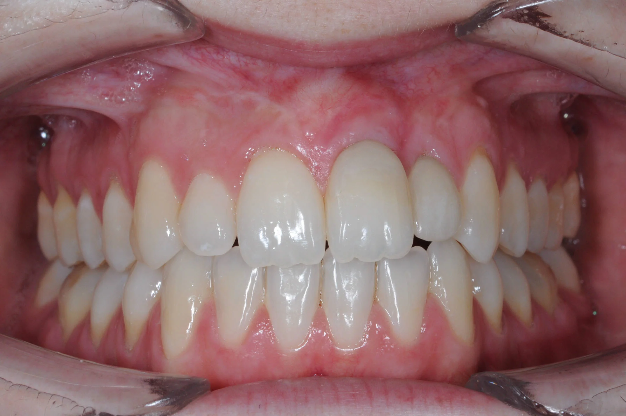
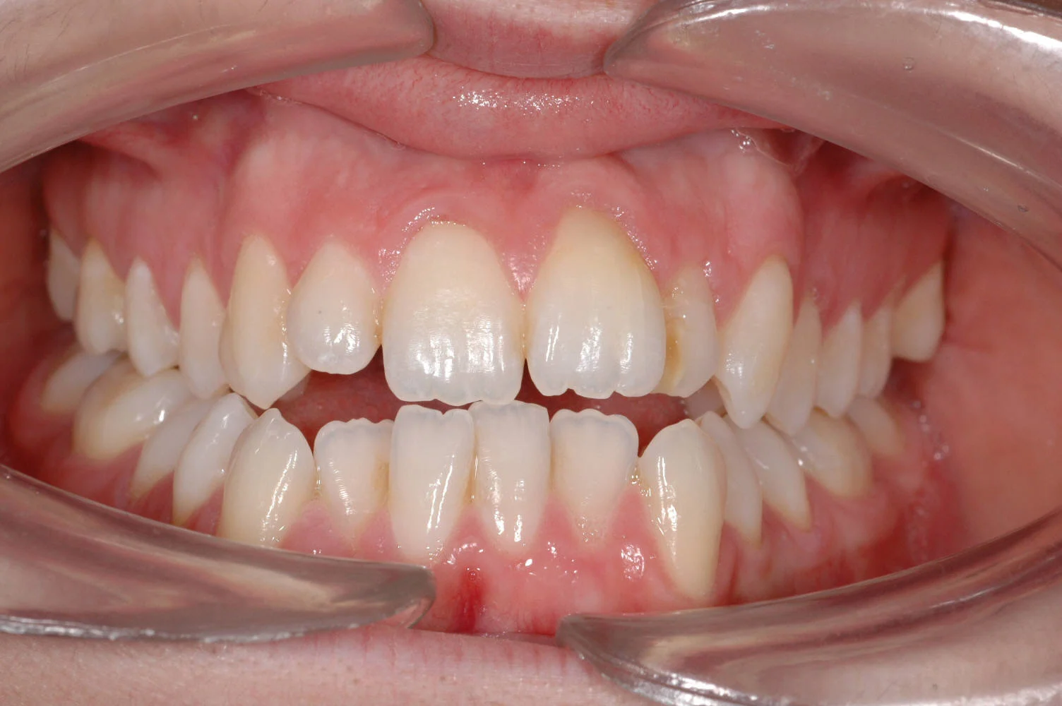
CASE HISTORY 01
Difetto estetico dento gengivale in paziente con malocclusione, risolto con trattamento ortodontico, con chirurgia plastica gengivale e ricostruzione con faccette estetiche.
Difetto estetico dento gengivale in paziente con malocclusione, risolto con trattamento ortodontico, con chirurgia plastica gengivale e ricostruzione con faccette estetiche.